Dilatation de bronches séquellaire d’une tuberculose pulmonaire au cours d’un syndrome de Rhupus

Olfa Berriche, Maher Dhifallah

PAMJ. 2015; 21:219. Published 27 Jul 2015 | doi:10.11604/pamj.2015.21.219.7421

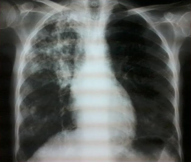
La fréquence de la tuberculose est beaucoup plus élevée au cours des maladies systémiques que dans la population générale, il s'agit le plus souvent de la réactivation d'une tuberculose latente. A côté de l'immunodépression induite par la maladie sous-jacente, il faut souligner le rôle favorisant des glucocorticoïdes et des traitements immunosuppresseurs. Nous rapportons un cas de tuberculose pulmonaire compliquée d'une dilatation des broches (DDB) au cours d'une entité très rare appelée rhupus syndrome (lupus érythémateux systémique et polyarthrite rhumatoïde). Une patiente âgée de 41 ans suivie depuis 10 ans pour rhupussyndrome, elle était mise sous corticothérapie à fortes doses associée à des anti paludéens de synthèse et du méthotrexate. L'évolution ultérieure était marquée par l'amélioration de la symptomatologie cutanée et articulaire avec l'apparition d'une symptomatologie respiratoire trainante et récidivante. Le dernier épisode était marqué par une fièvre à 39°, une asthénie, un amaigrissement, une dyspnée et une toux. Le bilan tuberculeux était positif et la radiographie thoracique montrait un foyer de dilatation des bronches lobaire supérieur droit séquellaire d'une tuberculose pulmonaire. La patiente était mise antituberculeux avec bonne amélioration clinique et radiologique.
Corresponding author
Olfa Berriche, Service de Médecine Interne, Hopital Taher Sfar, Mahdia, Tunisie (olfaberriche@gmail.com)


The Pan African Medical Journal (ISSN: 1937-8688) is a subsidiary of the Pan African Medical Journal. The contents of this journal is intended exclusively for professionals in the medical, paramedical and public health and other health sectors.

Currently tracked by: DOAJ, AIM, Google Scholar, AJOL, EBSCO, Scopus, Embase, IC, HINARI, Global Health, PubMed Central, PubMed/Medline, ESCI

Physical address: "Kenya: 3rd Floor, Park Suite Building, Parkland Road, Nairobi. PoBox 38583-00100, tel: +254 (0)20-520-4356 | Cameroon: Immeuble TechnoPark Essos, Yaounde, PoBox: 10020 Yaounde, tel: +237 (0)24-309-5880"