Infarctus splénique au cours d’une forme grave de la granulomatose avec polyangéite: à propos d’un cas

Olfa Berriche, Wafa Alaya

PAMJ. 2015; 21:68. Published 28 May 2015 | doi:10.11604/pamj.2015.21.68.7039

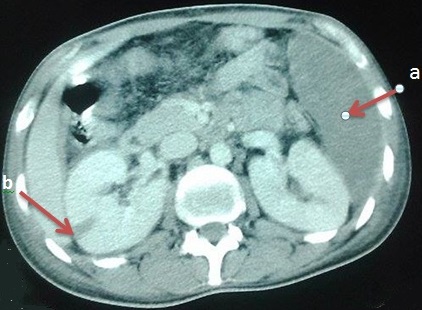
La granulomatose avec polyangéite (GPA) est une vascularite nécrosante systémique, caractérisée par une inflammation granulomateuse, une nécrose tissulaire et une vascularite touchant les vaisseaux de moyen et, surtout, de petit calibre. L'infarctus splénique est une complicationtrès rare de la GPA, sa survenue est grave en raison des potentielles complications hémorragiques pouvant engager le pronostic vital. Nous rapportons l'observation d'un jeune patient âgé de 26 ans, dont le diagnostic de GPA a été posé il y a une semaine, et retenu devant la présence de 3 critères de l'ACR: atteinte ORL, anomalies à la radiologie pulmonaire, et atteinte rénale. Il a présenté subitement des douleurs abdominales prédominant à gauche, l'examen physique a objectivé une sensibilité du flanc gauche. Devant l'aggravation de la symptomatologie digestive, un angioscanner abdominal a été pratiqué montrant un infarctus splénique et un défaut de rehaussement segmentaire du rein droit. Le patient était mis sous corticothérapie et cyclophosphamide. Deux mois plus tard, le patient était ré-hospitalisé pour apparition d'un purpura pétéchial rapidement extensif, une fièvre en rapport avec un sepsis, une aggravation rapide de l'atteinte pulmonaire et rénale à l'origine de son décès.
Corresponding author
Olfa Berriche, Service de Médecine Interne, Hopital Taher Sfar, Mahdia, Tunisie (olfaberriche@gmail.com)


The Pan African Medical Journal (ISSN: 1937-8688) is a subsidiary of the Pan African Medical Journal. The contents of this journal is intended exclusively for professionals in the medical, paramedical and public health and other health sectors.

Currently tracked by: DOAJ, AIM, Google Scholar, AJOL, EBSCO, Scopus, Embase, IC, HINARI, Global Health, PubMed Central, PubMed/Medline, ESCI

Physical address: "Kenya: 3rd Floor, Park Suite Building, Parkland Road, Nairobi. PoBox 38583-00100, tel: +254 (0)20-520-4356 | Cameroon: Immeuble TechnoPark Essos, Yaounde, PoBox: 10020 Yaounde, tel: +237 (0)24-309-5880"