Hernie diaphragmatique étranglée: un piège à ne pas méconnaître

Ammar Mahmoudi, Randa Salem

PAMJ. 2015; 21:27. Published 13 May 2015 | doi:10.11604/pamj.2015.21.27.6688

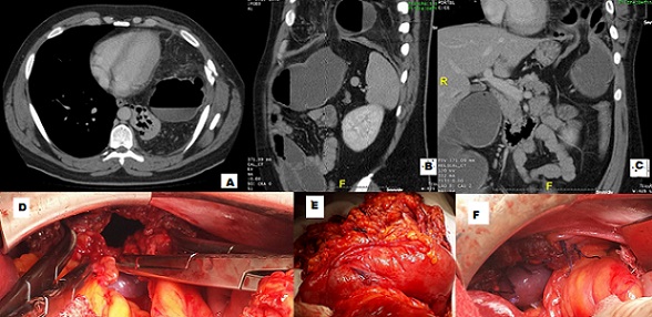
La hernie diaphragmatique post-traumatique constitue une lésion particulière en traumatologie car elle risque de passer inaperçue et peut représenter ainsi un piège diagnostique. Le diagnostic se fait alors à l'occasion d'une complication, en particulier l'étranglement. La coupole diaphragmatique gauche est la plus fréquemment touchée. Nous rapportons le cas d'un patient âgé de 28 ans qui a été victime d'une plaie par arme blanche basithoracique gauche il y a trois ans et la radiographie du thorax avait montré un hémothorax gauche minime ayant bien évolué sous simple surveillance. Le patient avait consulté pour un syndrome occlusif sans signe respiratoire. La tomodensitométrie avait objectivé une hernie diaphragmatique gauche étranglée contenant le colon transverse gauche et l'épiploon comblant ainsi la cavité pleurale homolatérale jusqu'à l'apex pulmonaire refoulant légèrement le médiastin et le poumon avec une atélectasie passive en regard. Cet étranglement était responsable d'une distension majeur du colon d'amont et des dernières anses iléales. Le patient était opéré en urgence par laparotomie ayant permis la réintégration du colon (qui était souffrant mais qui a récupéré) dans la cavité péritonéale, la résection de l'épiploon de mauvaise qualité et une réparation du défect diaphragmatique par raphie simple. L'évolution était favorable avec une sortie à J5 et un suivi sans particularités. L'éventualité de la survenue d'une hernie diaphragmatique doit être systématiquement présente à l'esprit en cas de traumatisme thoraco-abdominal fermé violent ou en cas de plaie basithoracique. Il est nécessaire de continuer la surveillance et de réaliser, au moindre doute, une exploration par une tomodensitométrie.
Corresponding author
Ammar Mahmoudi, Service de Chirurgie Générale et Digestive, CHU Fattouma Bourguiba de Monastir, Rue du 1er juin, C.P 5000, Monastir, Tunisie (mahmoudi_a1975@yahoo.fr)


The Pan African Medical Journal (ISSN: 1937-8688) is a subsidiary of the Pan African Medical Journal. The contents of this journal is intended exclusively for professionals in the medical, paramedical and public health and other health sectors.

Currently tracked by: DOAJ, AIM, Google Scholar, AJOL, EBSCO, Scopus, Embase, IC, HINARI, Global Health, PubMed Central, PubMed/Medline, ESCI

Physical address: "Kenya: 3rd Floor, Park Suite Building, Parkland Road, Nairobi. PoBox 38583-00100, tel: +254 (0)20-520-4356 | Cameroon: Immeuble TechnoPark Essos, Yaounde, PoBox: 10020 Yaounde, tel: +237 (0)24-309-5880"