Sinusite ethmoïdo-maxillaire chronique chez un diabétique: penser à l'actinomycose

Madiha Mahfoudhi, Khaled Khamassi

PAMJ. 2015; 20:450. Published 30 Apr 2015 | doi:10.11604/pamj.2015.20.450.6854

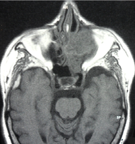
Une sinusite ethmoïdo-maxillaire chronique chez un diabétique est le plus souvent d'origine infectieuse. L'actinomycose doit être évoquée devant une forme unilatérale et trainante. Ce syndrome de sinusite chronique s'accompagne d'une tuméfaction génienne à caractère infiltrant progressif avec fistulisations multiples. Un pus contenant des grains jaunes est évocateur. La culture en milieu anaérobie confirme ce diagnostic. Patiente âgée de 73 ans, diabétique de type 2 depuis 7 ans, a consulté pour épistaxis unilatérale gauche, rhinorrhée purulente ayant un aspect de granulations jaunâtres et algies faciales. Le tout évoluait depuis un mois dans un contexte fébrile. Elle avait des caries dentaires et un diabète déséquilibré. L'endoscopie nasale a trouvé une formation charnue au niveau du méat moyen gauche avec une muqueuse nasale nécrosée. L'IRM du massif facial a révélé un comblement ethmoïdo-maxillo-nasal gauche avec lyse osseuse de la cloison inter-sinuso-nasale et des cornets et infiltration des tissus mous de l'orbite. Plusieurs diagnostics ont été évoqués en particulier une tuberculose, une aspergillose et un lymphome. La culture en milieu anaérobie a confirmé le diagnostic d'actinomycose. Le traitement chirurgical a consisté en une biméatotomie associée à une ethmoïdectomie gauche par voie endonasale, une exérèse des lésions nécrotiques et un drainage sinusien des granules. L'examen anatomopathologique a révélé une nécrose étendue de la muqueuse nasale sans aucun signe de malignité. Le traitement médical s'est basé sur la penicilline G par voie intraveineuse, l'équilibration de son diabète et le soin des caries dentaires. L'évolution était favorable avec un recul de 3 ans.
Corresponding author
Madiha Mahfoudhi, Service de Médecine Interne A, Hôpital Charles Nicolle, Tunis, Tunisie (madiha_mahfoudhi@yahoo.fr)


The Pan African Medical Journal (ISSN: 1937-8688) is a subsidiary of the Pan African Medical Journal. The contents of this journal is intended exclusively for professionals in the medical, paramedical and public health and other health sectors.

Currently tracked by: DOAJ, AIM, Google Scholar, AJOL, EBSCO, Scopus, Embase, IC, HINARI, Global Health, PubMed Central, PubMed/Medline, ESCI

Physical address: "Kenya: 3rd Floor, Park Suite Building, Parkland Road, Nairobi. PoBox 38583-00100, tel: +254 (0)20-520-4356 | Cameroon: Immeuble TechnoPark Essos, Yaounde, PoBox: 10020 Yaounde, tel: +237 (0)24-309-5880"