Association rare: Syndrome de Sjögren et liposarcome de la parotide

Mahfoudhi Madiha, Khamassi Khaled

PAMJ. 2015; 20:420. Published 29 Apr 2015 | doi:10.11604/pamj.2015.20.420.6212

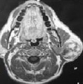
Les liposarcomes de la parotide ont été rarement rapportés chez l'adulte. Aucune association à un syndrome de Sjögren n'a été décrite dans la littérature. Patiente âgée de 48 ans, suivie pour un syndrome de Sjögren depuis 5 ans, était hospitalisée pour une tuméfaction cervicale gauche évoluant depuis 3 mois. Le syndrome de Sjögren a été retenu devant l'association d'une xérostomie, une xérophtalmie, une kératoconjonctivite au test de Rose Bengal, des anti-SSA positifs et une sialadénite stade IV de chisholm. Il était primitif vue l'absence d'une connectivite ou d'une autre pathologie associée. A l'examen, elle avait une tuméfaction de la région parotidienne gauche de 4 cm de diamètre, ferme, indolore, peu mobile, sans signes inflammatoires en regard. Le reste de l'examen ORL était sans anomalies. Elle n'avait pas d'adénopathies périphériques. L'examen biologique a retrouvé une hypergammaglobulinémie polyclonale. Une poussée de sa maladie, un lymphome ou une cause infectieuse étaient évoqués. L'échographie cervicale a révélé une formation parotidiennee hypoéchogène hétérogène bien limitée au niveau de la loge parotidienne inférieure gauche. L'IRM parotidienne a objectivé un processus hétérogène en hyposignal T1, hypersignal T2, se réhaussant après injection de gadolinium. Le bilan d'extension était négatif. Le Traitement a consisté en une parotidectomie totale gauche associée à un curage ganglionnaire homolatéral et une radiothérapie post-opératoire. L'examen extemporané était évocateur d'un liposarcome. L'examen anatomopathologique a conclut à un liposarcome dédifférencié myxoïde de haut grade de malignité. L'évolution était marquée par une rémission totale pour un recul de 3 ans.
Corresponding author
Mahfoudhi Madiha, Service de Médecine Interne A, Hôpital Charles Nicolle, Tunis, Tunisie (madiha_mahfoudhi@yahoo.fr)


The Pan African Medical Journal (ISSN: 1937-8688) is a subsidiary of the Pan African Medical Journal. The contents of this journal is intended exclusively for professionals in the medical, paramedical and public health and other health sectors.

Currently tracked by: DOAJ, AIM, Google Scholar, AJOL, EBSCO, Scopus, Embase, IC, HINARI, Global Health, PubMed Central, PubMed/Medline, ESCI

Physical address: "Kenya: 3rd Floor, Park Suite Building, Parkland Road, Nairobi. PoBox 38583-00100, tel: +254 (0)20-520-4356 | Cameroon: Immeuble TechnoPark Essos, Yaounde, PoBox: 10020 Yaounde, tel: +237 (0)24-309-5880"