Anxious man with blurred vision

Adil Belmekhtar, Daoudi Rajae

PAMJ. 2015; 20:361. Published 14 Apr 2015 | doi:10.11604/pamj.2015.20.361.5349

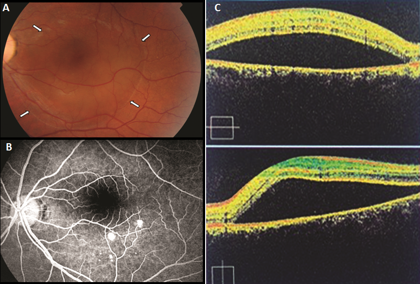
A 34-year-old man with history of stress presented to the emergency department with blurred vision in the left eye for the past week. There has been no vision change in his right eye. The vision acuity of the left eye was 20/100. The fundus examination revealed a localized serous detachment of the macula (A). The fluorescein angiography (B) and the ocular coherence tomography (OCT) (C) confirmed the diagnosis of Central serous chorioretinopathy. Central serous chorioretinopathy (CSCR) is characterized by the accumulation of subretinal fluid at the posterior pole of the fundus, causing a retinal detachment. When the detachment spreads into the macula, patients typically describe decreased vision acuity, metamorphopsia and a scotoma. CSCR is predominant in caucasians men between 20 to 45 years of age, and is highly linked to stress and the use of corticosteroid. The diagnosis is based on the ophthalmoscopic findings and results of fluorescein angiography, which shows single or multiples leakage points. The ocular coherence tomography (oct) contribute in the diagnosis by demonstrating the neurosensory detachment and is an objective way of surveillance. Generally, CSCR has a good prognosis for spontaneous visual recovery. However, some patients develop chronic CSCR or subretinal fibrosis.
Corresponding author
Adil Belmekhtar, Université Mohammed V Souissi, Service d’Ophtalmologie A de l’Hôpital des Spécialités, Centre Hospitalier Universitaire, Rabat, Maroc (dr.abelmokhtar@hotmail.fr)


The Pan African Medical Journal (ISSN: 1937-8688) is a subsidiary of the Pan African Medical Journal. The contents of this journal is intended exclusively for professionals in the medical, paramedical and public health and other health sectors.

Currently tracked by: DOAJ, AIM, Google Scholar, AJOL, EBSCO, Scopus, Embase, IC, HINARI, Global Health, PubMed Central, PubMed/Medline, ESCI

Physical address: "Kenya: 3rd Floor, Park Suite Building, Parkland Road, Nairobi. PoBox 38583-00100, tel: +254 (0)20-520-4356 | Cameroon: Immeuble TechnoPark Essos, Yaounde, PoBox: 10020 Yaounde, tel: +237 (0)24-309-5880"