Un vasospasme fatal compliquant une hémorragie méningée grave

Soumaya Touzani, Mohammed Khatouf

PAMJ. 2015; 20:346. Published 10 Apr 2015 | doi:10.11604/pamj.2015.20.346.5863

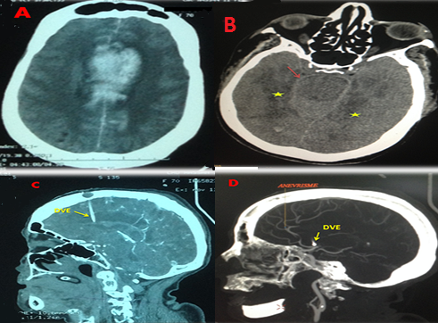
Il s'agit d'une patiente de 70 ans, diabétique sous insulinothérapie, admise aux urgences en troubles de conscience. Le scanner cérébral à son admission a montré une hémorragie méningée grade IV de WFNS grade 4 de Fisher avec inondation ventriculaire et hydrocéphalie (A). La patiente a bénéficié d'une dérivation ventriculaire externe. L'angioscanner cérébral (B, C, D) réalisé à H24 a objectivé une persistance de l'hémorragie méningée avec inondation ventriculaire (B), un accident vasculaire ischémique dû au vasospasme dans les territoires des artères cérébrales antérieures et postérieures en bilatéral (B, C) et un petit anévrysme de l'artère cérébrale antérieure de 3 millimètres (D). Les vélocités moyennes au doppler transcrânien étaient élevées (210 cm/s). La prise en charge thérapeutique associait nimodipine en perfusion continue, hyperventilation et « triple-H thérapie». L'évolution était fatale par l'installation rapide d'une défaillance multiviscérale. Le vasospasme qui suit l'hémorragie méningée anévrismale est une pathologie complexe à l'étiologie multifactorielle. Défini comme une réduction de la lumière d'une artère conductrice dans l'espace sous-arachnoïdien associée à des troubles de la microcirculation, il survient classiquement dès le troisième jour et jusqu'à la quatrième semaine après l'hémorragie méningée. L'observation d'un vasospasme ultraprécoce a valeur de resaignement et serait prédictif d'une lourde morbi-mortalité. Il peut conduire à des « déficits neurologiques ischémiques retardés » et parfois au décès. Le traitement préventif repose sur la nimodipine et une fois le vasospasme avéré et l'anévrysme sécurisé, la « triple-H thérapie » (hypervolémie, hypertension artérielle et hémodilution) est préconisée.
Corresponding author
Soumaya Touzani, Service de Réanimation polyvalente A1, CHU Hassan II de Fès, Maroc (touzani.soumaya@gmail.com)


The Pan African Medical Journal (ISSN: 1937-8688) is a subsidiary of the Pan African Medical Journal. The contents of this journal is intended exclusively for professionals in the medical, paramedical and public health and other health sectors.

Currently tracked by: DOAJ, AIM, Google Scholar, AJOL, EBSCO, Scopus, Embase, IC, HINARI, Global Health, PubMed Central, PubMed/Medline, ESCI

Physical address: "Kenya: 3rd Floor, Park Suite Building, Parkland Road, Nairobi. PoBox 38583-00100, tel: +254 (0)20-520-4356 | Cameroon: Immeuble TechnoPark Essos, Yaounde, PoBox: 10020 Yaounde, tel: +237 (0)24-309-5880"