Infection à EBV compliquée d’un syndrome d’activation macrophagique

Madiha Mahfoudhi, Sami Turki

PAMJ. 2015; 20:255. Published 17 Mar 2015 | doi:10.11604/pamj.2015.20.255.5903

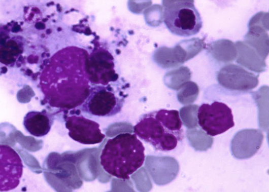
Le syndrome d’activation macrophagique est une complication rare qui peut aggraver le pronostic d’une infection, une néoplasie ou une maladie auto-immune. Il complique rarement une infection à EBV et constitue un élément de très mauvais pronostic. Patient âgé de 18 ans hospitalisé pour une fièvre. Il avait des adénopathies cervicales et une hépatomégalie. L’examen de la gorge, l’auscultation cardiaque et pulmonaire ainsi que l’examen neurologique étaient sans anomalies. La radiographie du thorax était normale. L’échographie abdominale et la TDM thoraco-abdomino-pelvienne ont objectivé une hépatomégalie homogène et des adénopathies centimétriques péri-aortiques. A la biologie, il avait une hyperferritinémie, une hypertriglycéridémie, un syndrome inflammatoire biologique, une pancytopénie avec une leucopénie à 1700 éléments /mm3, une anémie normochrome normocytaire à 7g/dl et une thrombopénie à 70000 éléments /mm3. En outre, il avait une cytolyse hépatique à 5 fois la normale. Les infections virales de type hépatite virale C, hépatite virale B, HIV, herpes simplex virus, varicelle zona virus, cytomégalovirus et parvovirus B19 étaient éliminées. La sérologie EBV était positive avec des taux d’Ig G et d’Ig M élevés. La PCR d’EBV était positive. Une hémophagocytose compliquant cette infection à EBV a été confirmée par le myélogramme. L’évolution était marquée par la survenue d’une hépatite fulminante avec apparition de signes d’insuffisance hépatocellulaire. Une insuffisance rénale aigue a compliqué le tableau avec une créatinémie à 910 µmol/l. Un traitement par étoposide était prévu mais le patient était décédé dans tableau de défaillance multiviscérale.
Corresponding author
Madiha Mahfoudhi, Service de Médecine Interne A, Hôpital Charles Nicolle, Tunis, Tunisie (madiha_mahfoudhi@yahoo.fr)

This image

  • HTML
  • PDF in process
Articles published in PAMJ are Open Access and distributed under the terms of the Creative Commons Attribution 4.0 International (CC BY 4.0).

eISSN: 1937-8688


The Pan African Medical Journal (ISSN: 1937-8688) is a subsidiary of the Pan African Medical Journal. The contents of this journal is intended exclusively for professionals in the medical, paramedical and public health and other health sectors.

Currently tracked by: DOAJ, AIM, Google Scholar, AJOL, EBSCO, Scopus, Embase, IC, HINARI, Global Health, PubMed Central, PubMed/Medline, ESCI

Physical address: "Kenya: 3rd Floor, Park Suite Building, Parkland Road, Nairobi. PoBox 38583-00100, tel: +254 (0)20-520-4356 | Cameroon: Immeuble TechnoPark Essos, Yaounde, PoBox: 10020 Yaounde, tel: +237 (0)24-309-5880"