Kyste colloïde obstructif du troisième ventricule

Abdellah Taous, Abdelhadi Rouimi

PAMJ. 2015; 20:217. Published 10 Mar 2015 | doi:10.11604/pamj.2015.20.217.6264

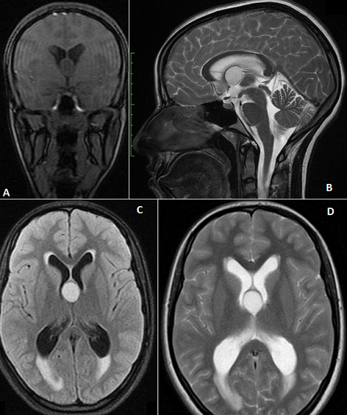
Il s'agit d'une patiente de 17 ans qui se plaignait depuis un mois d'une hémicrânie gauche positionnelle paroxystique, rebelle aux antalgiques simples, associée à des nausées, des vomissements et une diplopie d'instalation brutale apparue 48 heure avant son hospitalisation. L'examen Clinique a trouvé une paralysie de la 6ème paire crânienne gauche et le fond d'œil a objectivé un œdème papillaire bilatéral stade III. Le bilan biologique était sans particularités. Une imagerie par résonance magnétique cérébrale (IRM) a montré une hydrocéphalie aigue obstructive biventriculaire et un processus lésionnel arrondi bien limité suspendu à la partie antéro-supérieure du troisième ventricule (V3), directement en arrière des trous de Monro, correspondant à un kyste colloïde. La patiente fut alors orientée en urgence en neuro-chirurgie pour prise en charge. Le kyste colloïde du V3 est une tumeur bénigne rare (0,5 à 2% des tumeurs cérébrales), naissant du neuro-épithélium primitif de la toile choroïdienne et survient habituellement entre 30 et 50 ans. Il siège toujours en arrière des trous de Monro, où il est appendu à la paroi antéro-supérieure du V3. Son éventualité doit être évoquée chez les patients présentant typiquement des poussées d'hypertension intracrânienne paroxystique (par un mécanisme de clapet) rebelles au traitement symptomatique. Il est mieux exploré par IRM notamment en coupes coronales et sagittales. Quoique bénin, le kyste colloïde nécessite une exérèse chirurgicale rapide, d'autant plus s'il existe une hydrocéphalie, en raison du risque de mort subite, par obstruction brutale du trou de Monro.
Corresponding author
Abdellah Taous, Service de Neurologie, Hôpital Militaire Moulay Ismaïl, Mèknes, Maroc (abdellahtaous@gmail.com)


The Pan African Medical Journal (ISSN: 1937-8688) is a subsidiary of the Pan African Medical Journal. The contents of this journal is intended exclusively for professionals in the medical, paramedical and public health and other health sectors.

Currently tracked by: DOAJ, AIM, Google Scholar, AJOL, EBSCO, Scopus, Embase, IC, HINARI, Global Health, PubMed Central, PubMed/Medline, ESCI

Physical address: "Kenya: 3rd Floor, Park Suite Building, Parkland Road, Nairobi. PoBox 38583-00100, tel: +254 (0)20-520-4356 | Cameroon: Immeuble TechnoPark Essos, Yaounde, PoBox: 10020 Yaounde, tel: +237 (0)24-309-5880"