Myxome géant de l’oreillette gauche appendue à la valve mitrale

Achraf Zaimi, Nabil Berrada

PAMJ. 2015; 20:203. Published 05 Mar 2015 | doi:10.11604/pamj.2015.20.203.6333

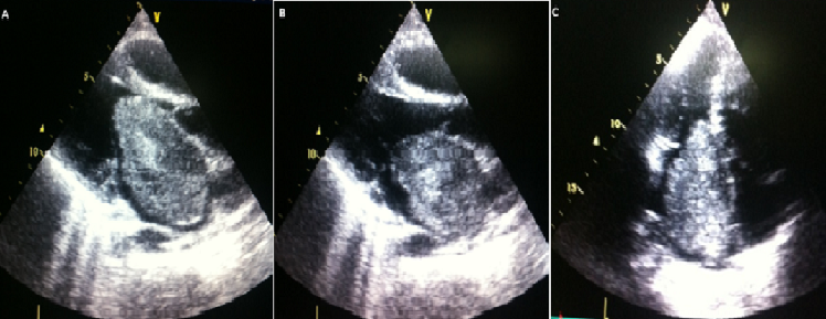
Le myxome cardiaque est la tumeur primitive intracardiaque la plus fréquente de l'adulte. Il est caractérisé par un polymorphisme clinique qui peut être déroutant pour le clinicien. L'avènement de l'échocardiographie en a bouleversé l'approche diagnostique. Malgré sa nature histologique bénigne, sa localisation intracardiaque engage le pronostic vital et impose une cure chirurgicale en urgence avec un risque de mortalité postopératoire minime. Le risque de récidive à long terme impose une résection large, une exploration minutieuse des quatre cavités et un suivi échocardiographique régulier. Nous rapportons le cas d'une jeune femme de 28 ans, sans aucun facteur de risque cardiovasculaire, reçue en consultation externe pour une dyspnée d'effort stade II de la NYHA évoluant depuis près de six mois. L'interrogatoire exclut une notion d'angines à répétitions dans l'enfance, de perte de connaissance et de déficit sensitivomoteur. L'examen physique révèle un roulement diastolique au foyer mitral. L'électrocardiogramme a montré un rythme sinusal, régulier à une fréquence cardiaque de 75 c/min avec une hypertrophie atriale gauche. Grâce à l'échocardiographie transthoracique, on a mis en évidence une masse insérée au niveau du septum interauriculaire occupant la totalité de l'oreillette gauche, hétérogène à surface irrégulière, appendue à la face atriale de la valve mitrale antérieure et traversant l'orifice mitral lors de la diastole et refoulée dans l'oreillette gauche pendant la systole. La patiente fut adressée directement à un service de chirurgie cardiovasculaire pour résection chirurgicale de la tumeur avec des suites simples.
Corresponding author
Achraf Zaimi, Service de Cardiologie, Hôpital Militaire Moulay Ismail, Meknès, Morocco (z_achraf@hotmail.com)

This image

  • HTML
  • PDF in process
Articles published in PAMJ are Open Access and distributed under the terms of the Creative Commons Attribution 4.0 International (CC BY 4.0).

eISSN: 1937-8688


The Pan African Medical Journal (ISSN: 1937-8688) is a subsidiary of the Pan African Medical Journal. The contents of this journal is intended exclusively for professionals in the medical, paramedical and public health and other health sectors.

Currently tracked by: DOAJ, AIM, Google Scholar, AJOL, EBSCO, Scopus, Embase, IC, HINARI, Global Health, PubMed Central, PubMed/Medline, ESCI

Physical address: "Kenya: 3rd Floor, Park Suite Building, Parkland Road, Nairobi. PoBox 38583-00100, tel: +254 (0)20-520-4356 | Cameroon: Immeuble TechnoPark Essos, Yaounde, PoBox: 10020 Yaounde, tel: +237 (0)24-309-5880"