Luxation traumatique de la hanche chez l’enfant (à propos d’un cas)

Ismail Hmouri, Mohamed Saleh Berrada

PAMJ. 2014; 19:397. Published 22 Dec 2014 | doi:10.11604/pamj.2014.19.397.5713

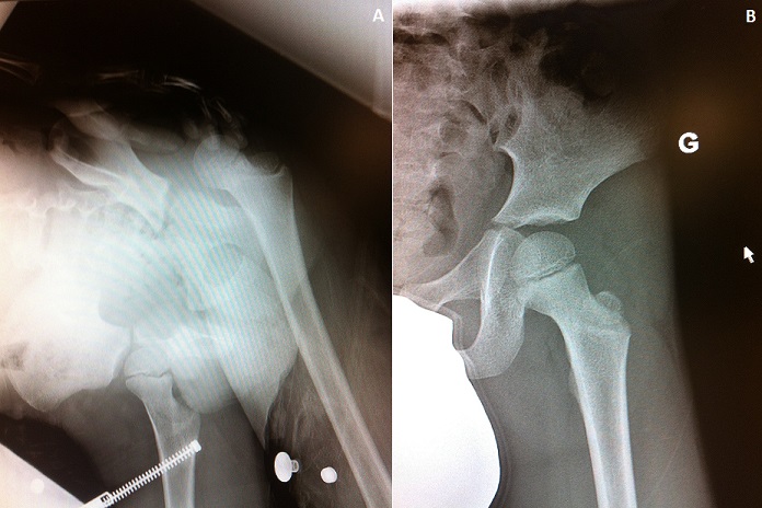
Il s'agit d'un enfant de 5ans, sans antécédent pathologique notable, victime d'une chute de sa hauteur à la cour de l’école, occasionnant chez lui une douleur et une impotence fonctionnelles totales du membre inférieur gauche. L'examen clinique trouve un membre inférieur raccourci en adduction et rotation interne. Le bilan radiologique montre une luxation postérieure pure de la hanche sans lésion associée (A). La prise en charge en urgence a consisté en une réduction de la luxation sous anesthésie générale (B), suivie de la mise en place d'une traction non collée pendant 3 semaines.
Corresponding author
Ismail Hmouri, Clinique de Chirurgie Traumatologique et Orthopédique, CHU Avicenne, Rabat, Maroc (i.hmouri@gmail.com)


The Pan African Medical Journal (ISSN: 1937-8688) is a subsidiary of the Pan African Medical Journal. The contents of this journal is intended exclusively for professionals in the medical, paramedical and public health and other health sectors.

Currently tracked by: DOAJ, AIM, Google Scholar, AJOL, EBSCO, Scopus, Embase, IC, HINARI, Global Health, PubMed Central, PubMed/Medline, ESCI

Physical address: "Kenya: 3rd Floor, Park Suite Building, Parkland Road, Nairobi. PoBox 38583-00100, tel: +254 (0)20-520-4356 | Cameroon: Immeuble TechnoPark Essos, Yaounde, PoBox: 10020 Yaounde, tel: +237 (0)24-309-5880"