A girl with a torticollis without trauma: Grisel’s syndrome

Ozgur Sogut, Kenan Ahmet Turkdogan

PAMJ. 2014; 19:371. Published 11 Dec 2014 | doi:10.11604/pamj.2014.19.371.5846

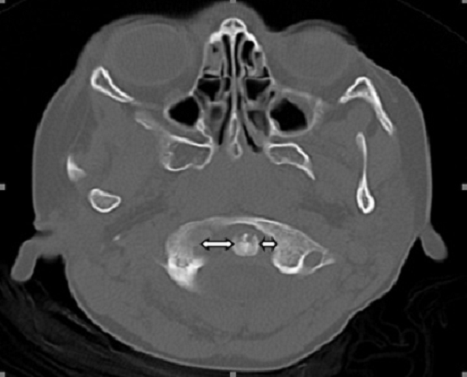
A 7 year-old girl patient was referred from pediatric emergency department (ED) to our emergency department due to cervical pain and neck stiffness. On her physical examination, torticollis was found in the neck. There was no history of trauma. Physical examination showed no focal neurological deficits. On further anamnestic evaluation the patient's parents revealed that she had presented to paediatric ED due to throat and neck pain and put on antibiotics therapy for 5 days. A computed tomography (CT) scan of the patient's neck was performed. A cervical lymphadenopathy associated with atlanto-axial subluxation shadow. The atlas was rotated on one articular process with 3-5 mm anterior displacement, compatible with Type II subluxation. Non-traumatic or inflammatory atlanto-axial subluxation is known as Grisel's syndrome. The subluxation was stabilized with external stabilization (rigid cervical collar). Skeletal muscle relaxants, antibiotics and nonsteroidal anti-inflammatory medications with bed rest were given for further treatment. Early diagnosis of Grisel's syndrome is of crucial importance due to the neurological deficits suc as recurrence or permanent neck deformity. CT, magnetic resonance imaging (MRI) or other imaging tests are required to demonstrate fractures and displaced bone fragments (ie., atlanto-axial subluxation). The primary treatment of early detected Grisel's syndrome is conservative including antibiotic therapy, bed rest, muscle relaxants, external fixation and anti-inflammatory therapy.
Corresponding author
Ozgur Sogut, Bezmialem Vakif University, Faculty of Medicine, Department of Emergency Medicine, Istanbul, Turkey (osogut@bezmialem.edu.tr)


The Pan African Medical Journal (ISSN: 1937-8688) is a subsidiary of the Pan African Medical Journal. The contents of this journal is intended exclusively for professionals in the medical, paramedical and public health and other health sectors.

Currently tracked by: DOAJ, AIM, Google Scholar, AJOL, EBSCO, Scopus, Embase, IC, HINARI, Global Health, PubMed Central, PubMed/Medline, ESCI

Physical address: "Kenya: 3rd Floor, Park Suite Building, Parkland Road, Nairobi. PoBox 38583-00100, tel: +254 (0)20-520-4356 | Cameroon: Immeuble TechnoPark Essos, Yaounde, PoBox: 10020 Yaounde, tel: +237 (0)24-309-5880"