Encéphalopathie de Wernicke compliquant l’hyperémèse gravidique et associée à une myélinolyse centropontique

Hanane Baouahi, Mouhssine Doumiri

PAMJ. 2014; 19:340. Published 01 Dec 2014 | doi:10.11604/pamj.2014.19.340.5692

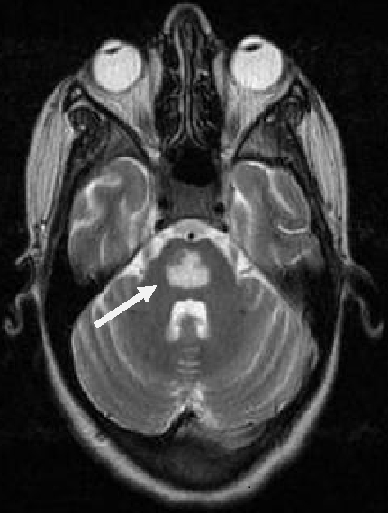
Patiente âgée de 18 ans, primipare, enceinte de 12 semaines d'aménorrhées, sans antécédents, a été admise aux urgences pour prise en charge de vomissements gravidiques incoercibles depuis trois semaines. L'examen clinique a montré un subictère, des signes de déshydrations globale, une ophtalmologie, une ataxie et une confusion. Une tension artérielle systolique à 90 mmHg, une tachycardie à 126 battements par minute. la biologie a objectivé une alcalose métabolique (ph à 7.58, HCO3- à 51.7mmol/L, Bases excès à 26.7 mmol/L, PCO2 à 56mmHg, PaO2 à 83mmHg), hyponatrémie à 130mmol /L, hypokaliémie à 1.6 mmol/L, hypochlorémie à 50mmol /L, Bilirubine directe à 40mg/L , ALAT à 1977 UI UI/L, ASAT à 543 UI UI/L, Urée à 1.6g/L, Créatinine à 14 mg/L, la sérologie des hépatites virale B et C étaient négatives, une échographie abdominale était normale. Une Encéphalopathie de Wernicke compliquant un hyperémèse gravidique a été évoquée et confirmée par IRM cérébrale. Le traitement était à base d'une réhydrations par sérum salé et glucosé et apport journalier des électrolytes, antiémétiques et vitaminothérapie à base de B1 à la dose 200mg/jour pendant un mois. L'évolution a été marquée après une semaine par l'arrêt des vomissements, retour de l'état de conscience à la normale et correction des troubles métaboliques. La patiente a quitté L'hôpital au dixième jour. Un control réalisé après 10 jours a montré des troubles de comportement. Une IRM de control a été réalisée montrant une image de myélinolyse centropentique.
Corresponding author
Hanane Baouahi, Département d’Anesthésie Réanimation Obstétricale, Hôpital Maternité Souissi, Université Mohamed V, Rabat, Maroc (barbiturique07@yahoo.com)


The Pan African Medical Journal (ISSN: 1937-8688) is a subsidiary of the Pan African Medical Journal. The contents of this journal is intended exclusively for professionals in the medical, paramedical and public health and other health sectors.

Currently tracked by: DOAJ, AIM, Google Scholar, AJOL, EBSCO, Scopus, Embase, IC, HINARI, Global Health, PubMed Central, PubMed/Medline, ESCI

Physical address: "Kenya: 3rd Floor, Park Suite Building, Parkland Road, Nairobi. PoBox 38583-00100, tel: +254 (0)20-520-4356 | Cameroon: Immeuble TechnoPark Essos, Yaounde, PoBox: 10020 Yaounde, tel: +237 (0)24-309-5880"