Association très rare: fracture de la diaphyse fémorale associée à une fracture de Hoffa homolatérale

Issam Elouakili, Younes Ouchrif

PAMJ. 2014; 19:223. Published 29 Oct 2014 | doi:10.11604/pamj.2014.19.223.5247

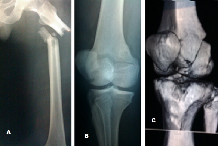
L'association fracture de la diaphyse fémorale et fracture de Hoffa de l'extrémité inférieure du même fémur est très rare, peu de cas sont décrit dans la littérature. Elles surviennent après un traumatisme à haute énergie surtout lors des accidents de la voie publique. Elles touchent par conséquent une population jeune. Notre patient est âgé de 27 ans, il a été victime d'un accident grave en conduisant sa moto. Le diagnostic est évoqué devant l'association d'une déformation de la cuisse et une hémarthrose du genou. L'examen vasculo nerveux doit être systématique par la palpation des pouls distaux et exploration du SPE et SPI. La confirmation diagnostique est faite après un bilan radiologique comprenant une radiographie standard de tout le fémur et des radiographies de face, profil et ¾ du genou éventuellement complétées par une TDM avec reconstruction 3D permettant de mieux visualisé la fracture de Hoffa. Le traitement est chirurgical consistant en enclouage centromédullaire à foyer fermé de la fracture du fémur, associé à un vissage percutané ou à foyer ouvert de la fracture de Hoffa en fonction des possibilités réductionnelles. Le pronostic est dominé par le risque important de raideur du genou. Diagnostic reten: fracture diaphysaire du fémur avec une fracture de hoffa associée 3 diagnostics différentiels: fracture du fémur associé à une rupture du LCP, fracture du fémur associée à une fracture de la rotule, fracture de fémur associée à une rupture du LCA
Corresponding author
Issam Elouakili, Service de Chirurgie Orthopédique, CHU de Rabat, Maroc (issam.elouakili@gmail.com)


The Pan African Medical Journal (ISSN: 1937-8688) is a subsidiary of the Pan African Medical Journal. The contents of this journal is intended exclusively for professionals in the medical, paramedical and public health and other health sectors.

Currently tracked by: DOAJ, AIM, Google Scholar, AJOL, EBSCO, Scopus, Embase, IC, HINARI, Global Health, PubMed Central, PubMed/Medline, ESCI

Physical address: "Kenya: 3rd Floor, Park Suite Building, Parkland Road, Nairobi. PoBox 38583-00100, tel: +254 (0)20-520-4356 | Cameroon: Immeuble TechnoPark Essos, Yaounde, PoBox: 10020 Yaounde, tel: +237 (0)24-309-5880"