Pneumopéricarde compliquant un traumatisme thoraco-abdominal par coup de sabot

Réda Guemmoune, Nabil Kanjaa

PAMJ. 2014; 19:132. Published 07 Oct 2014 | doi:10.11604/pamj.2014.19.132.5412

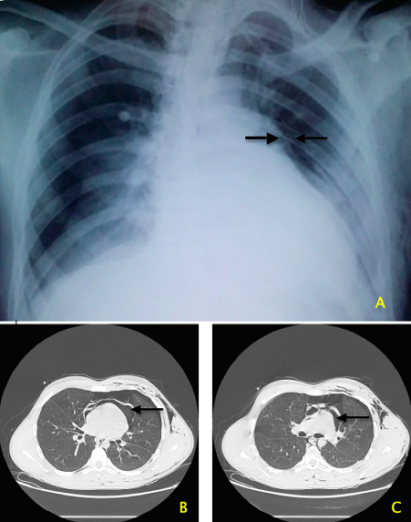
Il n'existe que peu d'études consacrées aux accidents d'équitation. Avec une incidence de 36/100000 pratiquants, et un taux de mortalité de 0.06/100000, la prévalence dans la population générale reste faible, mais la gravité de ces accidents est liée à leur violence. Nous rapportons le cas d'un patient de 17 ans, victime d'un traumatisme thoraco-abdominal par coup de sabot. Reçu en état de choc aux urgences, avec une sensibilité abdominale, des sueurs profuses, des conjonctives décolorées, une tachycardie à 120bpm, et une tension artérielle à 80/50 mmHg. Le bilan lésionnel après stabilisation objectivait au niveau thoracique: un important emphysème sous cutané, un pneumothorax gauche, un pneumomediastin et une solution de continuité de la face antérieure du péricarde avec pneumopéricarde, et au niveau abdominal: un éclatement de la rate avec un hématome périsplénique et un épanchement intrapéritonéal de grande abondance. Le patient est admis au service de Réanimation après drainage thoracique et splénectomie d'hémostase réalisée en urgence. Le drainage pleural simple a permis le drainage pleural.
Corresponding author
Réda Guemmoune, Service de Réanimation Anesthésie, CHU Hassan II, Fès, Maroc (Guemmoune.reda@gmail.com)


The Pan African Medical Journal (ISSN: 1937-8688) is a subsidiary of the Pan African Medical Journal. The contents of this journal is intended exclusively for professionals in the medical, paramedical and public health and other health sectors.

Currently tracked by: DOAJ, AIM, Google Scholar, AJOL, EBSCO, Scopus, Embase, IC, HINARI, Global Health, PubMed Central, PubMed/Medline, ESCI

Physical address: "Kenya: 3rd Floor, Park Suite Building, Parkland Road, Nairobi. PoBox 38583-00100, tel: +254 (0)20-520-4356 | Cameroon: Immeuble TechnoPark Essos, Yaounde, PoBox: 10020 Yaounde, tel: +237 (0)24-309-5880"