Leucémie aiguë lymphoblastique révélée par une atteinte du sinus caverneux chez un jeune homme

Badreeddine Alami, Mustapha Maaroufi

PAMJ. 2014; 19:98. Published 26 Sep 2014 | doi:10.11604/pamj.2014.19.98.5088

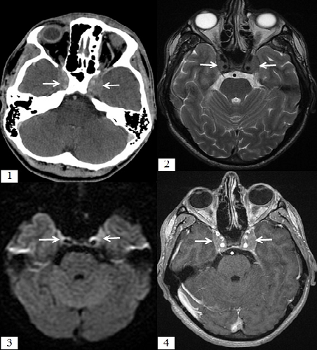
L'atteinte du sinus caverneux au cours des leucémies aigues est rare et peut se faire par extension directe ou via une dissémination hématogène.L'aspect en imagerie n'est pas pathognomonique mais reste évocateur : le scanner montre une infiltration tissulaire du sinus caverneux, l'IRM est plus performante montrant un hypo signal T2 de cette infiltration, avec restriction de la diffusion et prise de contraste après injection du Gadolinium. Nous rapportons le cas d'un jeune homme, âgé de 22 ans, admis aux urgences dans un tableau d'HTIC évoluant depuis 10 jours avec diplopie horizontale. Une TDM cérébrale a objectivé un aspect élargi des 2 sinus caverneux qui sont spontanément hyperdense rehaussés de façon modérée après injection du produit de contraste. La NFS a montré une thrombopénie avec un taux de plaquettes à 33000/mm3, une hyperleucocytose à 16700/mm3, le taux d'hémoglobine était à 13.7g /l. Nous avons complété le bilan d'imagerie par une IRM cérébrale qui a montréune infiltration tissulairedes 2 sinus caverneux se présentant en hypo signal T2, avec restriction de la diffusion et prise de contraste homogène après injection du gadolinium. Une atteinte lymphomateuse a été évoquée sur cet aspect. 2 jours après le patient a présenté des hématomes à chaque point d'injection. Une NFS avec frottis ont montré un taux de plaquettes à 21 000/mm3 et des blastes à 25%, ensuite un myélogramme a été réalisé revenant en faveur d'une leucémie aigue lymphoblastique. L'évolution a été fatale par hémorragie digestive.
Corresponding author
Badreeddine Alami, Service de Radiologie, CHU Hassan II, Fès, Maroc (badr.alami@ymail.com)


The Pan African Medical Journal (ISSN: 1937-8688) is a subsidiary of the Pan African Medical Journal. The contents of this journal is intended exclusively for professionals in the medical, paramedical and public health and other health sectors.

Currently tracked by: DOAJ, AIM, Google Scholar, AJOL, EBSCO, Scopus, Embase, IC, HINARI, Global Health, PubMed Central, PubMed/Medline, ESCI

Physical address: "Kenya: 3rd Floor, Park Suite Building, Parkland Road, Nairobi. PoBox 38583-00100, tel: +254 (0)20-520-4356 | Cameroon: Immeuble TechnoPark Essos, Yaounde, PoBox: 10020 Yaounde, tel: +237 (0)24-309-5880"