Un aspect radiologique en aile de papillon ne signifie pas toujours un OAP : pensez à l’adénocarcinome bronchique

Hicham Janah, Amina Atmane

PAMJ. 2014; 19:92. Published 26 Sep 2014 | doi:10.11604/pamj.2014.19.92.5405

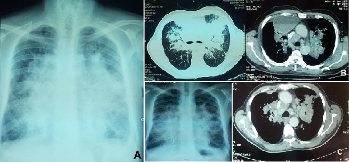
Nous rapportons l'observation d'un patient âgé de 58 ans, sans antécédent particulier; se plaignant 1 mois avant son hospitalisation d'un syndrome bronchique, des hémoptysies minimes et une dyspnée d'aggravation progressive devenant une dyspnée au repos évoluant dans un contexte d'apyrexie et d'amaigrissement non chiffré. L'examen clinique trouvait un patient dyspnéique à 28 c/min avec des râles ronflants perçus à l'auscultation pleuro-pulmonaire. La radiographie thoracique montrait un syndrome alvéolaire para-hilaire bilatéral réalisant un aspect en Aile de Papillon (A) faisant évoquer un oedème aigue des poumons. Le scanner thoracique découvrait une collection para-médiastinale droite mesurant 123x110x86 mm à paroi fine et refoulant le médiastin et le parenchyme pulmonaire; avec infiltration tissulaire péri-hilaire et péri-bronchique avec contours externes nets réalisant un aspect en aile de papillon; présence d'adénopathies médiastinales et sous diaphragmatiques (B). La bronchoscopie montrait des éperons épaissis plus marqué au niveau de la lobaire supérieure droite; les orifices rétrécis. Des biopsies bronchiques sur les zones pathologiques ont été faites dont l'étude anatomopathologique et immunohistochimique a conclue à un adénocarcinome moyennement différencie et infiltrant d'origine pulmonaire. Le patient a reçu 6 cycles de chimiothérapie antimitotique. L'évolution est marquée par une stabilité clinique et régression partielle des anomalies radiologiques avec nettoyage de la collection médiastinale (C) sur un recul de 15 mois. L'adénocarcinome pulmonaire primitif représente actuellement le type histologique le plus fréquent du cancer du poumon; de topographie habituellement périphérique mais, d'autres aspects peuvent néanmoins exister.
Corresponding author
Hicham Janah, Service de Pneumologie, Hôpital Militaire d’Instruction Mohammed V, Rabat, Maroc (janah14@live.fr)


The Pan African Medical Journal (ISSN: 1937-8688) is a subsidiary of the Pan African Medical Journal. The contents of this journal is intended exclusively for professionals in the medical, paramedical and public health and other health sectors.

Currently tracked by: DOAJ, AIM, Google Scholar, AJOL, EBSCO, Scopus, Embase, IC, HINARI, Global Health, PubMed Central, PubMed/Medline, ESCI

Physical address: "Kenya: 3rd Floor, Park Suite Building, Parkland Road, Nairobi. PoBox 38583-00100, tel: +254 (0)20-520-4356 | Cameroon: Immeuble TechnoPark Essos, Yaounde, PoBox: 10020 Yaounde, tel: +237 (0)24-309-5880"