Asymptomatic Dandy-Walker syndrome in an adult

Hatim Belfquih, Brahim Elmostarchid

PAMJ. 2014; 19:15. Published 08 Sep 2014 | doi:10.11604/pamj.2014.19.15.3974

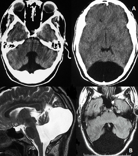
This 34 years old man presented with moderate and persistent headache occurring 48 hours following Benin head injury. There were no symptoms of increased intracranial pressure. Neurological examination was unremarkable without cerebellar ataxia or psychomotor retardation .the patient was submitted to CT scan and magnetic resonance imaging (MRI) of the brain that revealed agenesis of cerebellar vermis and large posterior fossa cyst communicating with the enlarged fourth ventricle suggestive of Dandy-Walker malformation without hydrocephalus. He was managed conservatively and he is doing well following 2 years ago. The Dandy-Walker syndrome (DWS) is a rare posterior fossa malformation and more rarely observed in adults. This case is unique in that the patient has been entirely asymptomatic with this abnormality since birth. The preserved cortical cytoarchitecture and the rarity of additional neurodevelopmental changes in DWS adults may explain the mild or absence of clinical expression, compared with DWS infants.
Corresponding author
Hatim Belfquih, Department of Neurosurgery, Mohammed V Military Teaching Hospital, Rabat, Morocco (hatimbelfquih@gmail.com)


The Pan African Medical Journal (ISSN: 1937-8688) is a subsidiary of the Pan African Medical Journal. The contents of this journal is intended exclusively for professionals in the medical, paramedical and public health and other health sectors.

Currently tracked by: DOAJ, AIM, Google Scholar, AJOL, EBSCO, Scopus, Embase, IC, HINARI, Global Health, PubMed Central, PubMed/Medline, ESCI

Physical address: "Kenya: 3rd Floor, Park Suite Building, Parkland Road, Nairobi. PoBox 38583-00100, tel: +254 (0)20-520-4356 | Cameroon: Immeuble TechnoPark Essos, Yaounde, PoBox: 10020 Yaounde, tel: +237 (0)24-309-5880"