Simple intraparenchymal cyst of the cerebellum

Jawad Laaguili, Brahim El Mostarchid

PAMJ. 2014; 18:337. Published 27 Aug 2014 | doi:10.11604/pamj.2014.18.337.3619

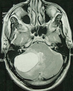
We present a magnetic resonance imaging of a 38 old woman, admitted with clinical symptoms of expansive cerebellar lesion. No mural nodule and no enhancement after gadolinium injection were noted. She was operated upon and an anatomico-pathological diagnosis of a simple cyst was made. Cysts of the posterior fossa are common in the literature, but the simple cyst is rare. Considered in the differential diagnosis of these cysts: (hemangioblastoma, astrocytoma cystic, hydatid cyst ...). The postoperative course was uneventful after surgery.
Corresponding author
Jawad Laaguili, Department of Neurosurgery, Mohamed V Military Teaching Hospital, Rabat, Morocco (laaguilijawad@gmail.com)


The Pan African Medical Journal (ISSN: 1937-8688) is a subsidiary of the Pan African Medical Journal. The contents of this journal is intended exclusively for professionals in the medical, paramedical and public health and other health sectors.

Currently tracked by: DOAJ, AIM, Google Scholar, AJOL, EBSCO, Scopus, Embase, IC, HINARI, Global Health, PubMed Central, PubMed/Medline, ESCI

Physical address: "Kenya: 3rd Floor, Park Suite Building, Parkland Road, Nairobi. PoBox 38583-00100, tel: +254 (0)20-520-4356 | Cameroon: Immeuble TechnoPark Essos, Yaounde, PoBox: 10020 Yaounde, tel: +237 (0)24-309-5880"