Volumetric modulated arc radiation therapy in the treatment of lung cancer: images of treatment planning case

Khalid Andaloussi-Saghir, Hamid Mansouri

PAMJ. 2014; 18:276. Published 04 Aug 2014 | doi:10.11604/pamj.2014.18.276.4108

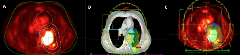
A 56-year-old Arabic man, with a 30 pack-year (1pack/day for 30 years) smoking history, admitted to the department of radiation oncology of military teaching hospital of Rabat for management of locally advanced non small cell cancer of the left lung (Adenocarcinoma). Computerized tomography (CT) of the chest showed a mass involving left upper lobe,measuring 6x7 cm in diameter and infiltrating the vertebral body. Workup including brain MRI and PET-CT, doesn't found lymphadenopathy in the mediastina or distant metastasis, the tumor was hyper metabolic (figure A). The disease was staged T4N0M0. A decision was made to proceed with chemo radiotherapy with curative aim, at the dose of 66 Gy, in 33 fractions of 2Gy, five fractions per week. The proximity of the target volume to the spinal cord,whose dose tolerance should not exceed 45 Gy, makes it impossible to achieve this radiation therapy with conventional technique using simple beams even with 3D conformal method. A treatment by volumetric modulated arc radiation therapy (Rapid arc) was initiated, and the use of two arcs allowed the optimal coverage of the target volume by isodoseline 95% without exceeding the permissible level dose in the spinal cord (figures B, C). Through this case, we aim to encourage acquisition of innovating technologies like Rapidarc by developing countries especially in Africa.
Corresponding author
Khalid Andaloussi-Saghir, Department of Radiotherapy Oncology, Mohammed V Military Hospital, Rabat, Morocco (khalidandaloussi@yahoo.fr)


The Pan African Medical Journal (ISSN: 1937-8688) is a subsidiary of the Pan African Medical Journal. The contents of this journal is intended exclusively for professionals in the medical, paramedical and public health and other health sectors.

Currently tracked by: DOAJ, AIM, Google Scholar, AJOL, EBSCO, Scopus, Embase, IC, HINARI, Global Health, PubMed Central, PubMed/Medline, ESCI

Physical address: "Kenya: 3rd Floor, Park Suite Building, Parkland Road, Nairobi. PoBox 38583-00100, tel: +254 (0)20-520-4356 | Cameroon: Immeuble TechnoPark Essos, Yaounde, PoBox: 10020 Yaounde, tel: +237 (0)24-309-5880"