Difficult to control epilepsy in Young Female: a common problem in a low resource setting

Innocent Lule Segamwenge, Ngalyuka Paul Kioko

PAMJ. 2014; 18:212. Published 08 Jul 2014 | doi:10.11604/pamj.2014.18.212.4818

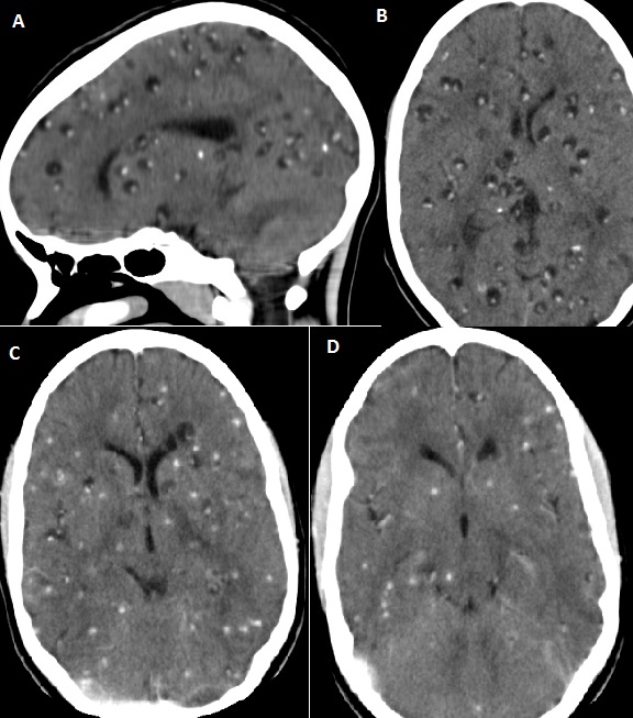
13-year old girl presented to the medical outpatient department with epilepsy diagnosed within the preceding 3 months. However, her seizures were becoming more frequent despite being on Carbamazepine and Phenobarbital at maximal tolerable dosages. She had no recent history of head trauma neither any other medical illness. Her physical examination was unremarkable. Her full blood count, liver and kidney function tests were within normal limits. A Brain CT scan was ordered which revealed multiple calcified and vesicular cysts within the Brain parenchyma; features consistent with Neurocysticercosis. The stool examination was negative for Taenia species ova. She was treated with Albendazole 400mg tid for 1 month and subsequent CT scans at 4 weekly intervals showed marked reduction in the number of active (vesicular cysts). Brain CT scans showing multiple vesicular cysts before treatment with Albendazole (A and B) and after treatment (C and D)
Corresponding author
Innocent Lule Segamwenge, Department of Internal Medicine, Intermediate Hospital Oshakati, Private Bag 5501, Oshakati, Namibia (sslule@yahoo.com)


The Pan African Medical Journal (ISSN: 1937-8688) is a subsidiary of the Pan African Medical Journal. The contents of this journal is intended exclusively for professionals in the medical, paramedical and public health and other health sectors.

Currently tracked by: DOAJ, AIM, Google Scholar, AJOL, EBSCO, Scopus, Embase, IC, HINARI, Global Health, PubMed Central, PubMed/Medline, ESCI

Physical address: "Kenya: 3rd Floor, Park Suite Building, Parkland Road, Nairobi. PoBox 38583-00100, tel: +254 (0)20-520-4356 | Cameroon: Immeuble TechnoPark Essos, Yaounde, PoBox: 10020 Yaounde, tel: +237 (0)24-309-5880"