Thrombose de la veine porte révélant un syndrome de Cushing du sujet âgé

Wafa Chebbi, Olfa Berriche

PAMJ. 2014; 18:186. Published 04 Jul 2014 | doi:10.11604/pamj.2014.18.186.4925

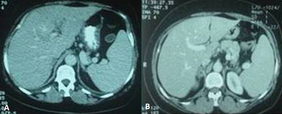
La fréquence des thromboses veineuses profondes au cours du syndrome de Cushing varie de 7 à 25%. Elles sont secondaires à des mécanismes multiples : élévation des taux des facteurs VIII, IX et de Von Willebrand, une réduction du TCA et une augmentation du TP. Nous rapportons l'observation d'une thrombose de la veine porte dont l'exploration étiologique a conduit au diagnostic du syndrome de Cushing. Il s'agissait d'une patiente âgée de 66 ans, sans antécédents pathologiques, hospitalisée pour une douleur intense et brutale de l'hypocondre droit. L'examen trouvait une obésité facio-tronculaire, une tension artérielle à 150/90 mmHg, des vergetures larges et pourpres au niveau du ventre et une sensibilité de l'hypochondre droit. Le scanner abdominal objectivait une thrombose de la branche portale gauche et un adénome surrénalien droit de 2 cm de grand axe, de densité spontanée estimée à 0,4 UH et un Wash out supérieur à 50%. Le bilan hormonal montrait un taux normal d'acide vanylmandélique urinaire, une élévation du cortisol libre urinaire à 233 µg/24h avec une cortisolémie sous freinage minute à 76 ng/ml. Le bilan étiologique de la thrombose de la veine porte était négatif (hémogramme normal, absence de lésion tumorale hépatique et de foyer infectieux intra-abdominal, taux normaux de protéine C, d'anti-thrombine, de protéine S et de résistance à la protéine C activée, anticorps antiphospholipides négatifs). La patiente était mise sous anticoagulant et confiée à la chirurgie. La recherche des signes cliniques et biologiques du syndrome de Cushing doit figurer dans le bilan étiologique d'une thrombose veineuse portale sans cause évidente.
Corresponding author
Wafa Chebbi, Service de Médecine Interne, CHU Taher Sfar Mahdia, 5100 Mahdia, Tunisie (chebbiwafamedimegh@yahoo.fr)


The Pan African Medical Journal (ISSN: 1937-8688) is a subsidiary of the Pan African Medical Journal. The contents of this journal is intended exclusively for professionals in the medical, paramedical and public health and other health sectors.

Currently tracked by: DOAJ, AIM, Google Scholar, AJOL, EBSCO, Scopus, Embase, IC, HINARI, Global Health, PubMed Central, PubMed/Medline, ESCI

Physical address: "Kenya: 3rd Floor, Park Suite Building, Parkland Road, Nairobi. PoBox 38583-00100, tel: +254 (0)20-520-4356 | Cameroon: Immeuble TechnoPark Essos, Yaounde, PoBox: 10020 Yaounde, tel: +237 (0)24-309-5880"