Sarcoïdose systémique : cause exceptionnelle de calcifications surrénaliennes

Wafa Chebbi, Saida Jerbi

PAMJ. 2014; 18:170. Published 20 Jun 2014 | doi:10.11604/pamj.2014.18.170.4769

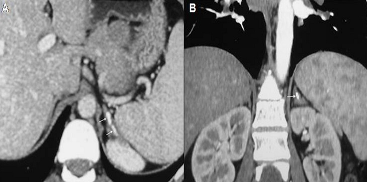
La sarcoïdose est une granulomatose systémique dont les localisations préférentielles sont les poumons, le système lymphatique et la peau. Cependant, l'atteinte des glandes endocrines est rarissime et la localisation surrénalienne est exceptionnelle. Nous rapportons l'observation d'une patiente âgée de 39 ans, sans antécédents pathologiques, adressée pour bilan étiologique d'une uvéite granulomateuse de l'oe'il gauche. A l'anamnèse, la patiente rapportait une toux sèche associée à une dyspnée d'effort, évoluant depuis 3 mois. Il n'y avait pas de notion de contage tuberculeux, ni de fièvre, ni d'altération de l'état général et ni de traumatisme abdominal. L'examen clinique était normal. Le bilan biologique montrait une hypercalcémie à 2,8 mmo/l, une hypercalciurie à 0,2 mmol /kg /24 heures et une élévation de l'enzyme de conversion de l'angiotensine à 104 UI/L (normale : 12- 68). La recherche de mycobactéries par tubage gastrique et dans les urines était négative. L'intradermo-réaction retrouvait une anergie tuberculinique et le quantiféron était négatif. Le scanner thoraco-abdominal objectivait une infiltration parenchymateuse pulmonaire faite de micronodules et de nodules pleuraux et péri-lobulaires bilatéraux prédominant dans les régions moyennes et supérieures sans atteinte fibrosante avec des adénopathies hilaires, latéro-trachéales bilatérales et sous carinaires non calcifiées, non nécrotiques et non compressives. A l'étage abdominal, il y avait des calcifications surrénaliennes gauches compatibles avec des séquelles d'atteinte granulomateuse. La biopsie de glandes salivaires montrait des lésions épithélioïdes et giganto-cellulaires sans nécrose caséeuse. La cortisolémie de base était normale (166 µg/dl). Le diagnostic de sarcoïdose systémique était retenu. Une corticothérapie à la dose de 0,5 mg/kg/j était instaurée avec une évolution favorable.
Corresponding author
Wafa Chebbi, Service de Médecine Interne, CHU Taher Sfar Mahdia, 5100 Mahdia, Tunisie (chebbiwafamedimegh@yahoo.fr)


The Pan African Medical Journal (ISSN: 1937-8688) is a subsidiary of the Pan African Medical Journal. The contents of this journal is intended exclusively for professionals in the medical, paramedical and public health and other health sectors.

Currently tracked by: DOAJ, AIM, Google Scholar, AJOL, EBSCO, Scopus, Embase, IC, HINARI, Global Health, PubMed Central, PubMed/Medline, ESCI

Physical address: "Kenya: 3rd Floor, Park Suite Building, Parkland Road, Nairobi. PoBox 38583-00100, tel: +254 (0)20-520-4356 | Cameroon: Immeuble TechnoPark Essos, Yaounde, PoBox: 10020 Yaounde, tel: +237 (0)24-309-5880"