Aortite thoraco-abdominale révélant une maladie de Horton

Wafa Chebbi, Saida Jerbi

PAMJ. 2014; 18:139. Published 17 Jun 2014 | doi:10.11604/pamj.2014.18.139.4776

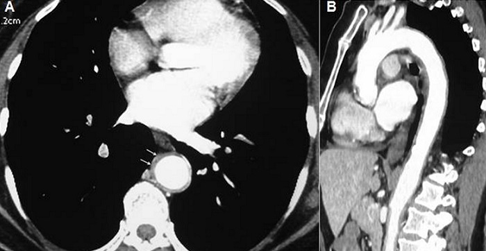
La maladie de Horton est une vascularite segmentaire et focale qui touche les artères de gros et moyen calibre, intéressant préférentiellement les branches de l'artère carotide externe. L'atteinte aortique est observée dans 5 à 15 % des cas, mais elle est probablement sous-estimée en raison d'une symptomatologie souvent pauvre ou peu spécifique. Elle est rarement inaugurale et survient le plus souvent lors de la décroissance de la corticothérapie. Nous rapportons l'observation d'une patiente âgée de 75 ans, hospitalisée pour exploration d'une fièvre prolongée associée à un syndrome inflammatoire biologique. A l'anamnèse, la patiente rapportait des céphalées fronto-pariétales depuis un mois. Il n'y avait pas de notion d'altération de l'état général, ni de sueurs nocturnes, ni de signe de pseudo polyarthrite rhizomélique. L'examen clinique était normal. Les pouls temporaux étaient pulsatiles. Le bilan biologique montrait une anémie à 8,6 g/l, une vitesse de sédimentation à 132 mm à la première heure, une protéine C réactive à 68 mg/l, une fibrinémie à 8,8 g/l et une hyper-alpha2-globulinémie. Les anticorps antinucléaires et les ANCA étaient négatifs. La recherche d'un foyer infectieux pulmonaire, ORL, stomatologique et urinaire était négative. L'échographie transœsophagienne ne montrait pas des signes en faveur d'une dissection aortique ou d'une endocardite. En l'absence de point d'appel, une tomodensitométrie thoraco-abdominale a été réalisée, mettant en évidence un épaississement pariétal régulier et circonférentiel intéressant l'aorte thoracique, les troncs supra-aortiques, l'aorte abdominale et les artères iliaques primitives à leur origine. La biopsie d'artère temporale montrait un aspect d'artérite temporale à cellules géantes. Un traitement par corticoïdes à raison de 1 mg/kg/j était instauré, entrainant une disparition rapide de la fièvre et des céphalées et une régression du syndrome inflammatoire.
Corresponding author
Wafa Chebbi, Service de Médecine Interne, CHU Taher Sfar Mahdia, 5100 Mahdia, Tunisie (chebbiwafamedimegh@yahoo.fr)


The Pan African Medical Journal (ISSN: 1937-8688) is a subsidiary of the Pan African Medical Journal. The contents of this journal is intended exclusively for professionals in the medical, paramedical and public health and other health sectors.

Currently tracked by: DOAJ, AIM, Google Scholar, AJOL, EBSCO, Scopus, Embase, IC, HINARI, Global Health, PubMed Central, PubMed/Medline, ESCI

Physical address: "Kenya: 3rd Floor, Park Suite Building, Parkland Road, Nairobi. PoBox 38583-00100, tel: +254 (0)20-520-4356 | Cameroon: Immeuble TechnoPark Essos, Yaounde, PoBox: 10020 Yaounde, tel: +237 (0)24-309-5880"