Aortic and left pulmonary artery dilatation: an unusual cause of a left hilar mass and lung collapse

Adenike Temitayo Adeniji-Sofoluwe, Atiku Hafiz

PAMJ. 2014; 18:130. Published 10 Jun 2014 | doi:10.11604/pamj.2014.18.130.2993

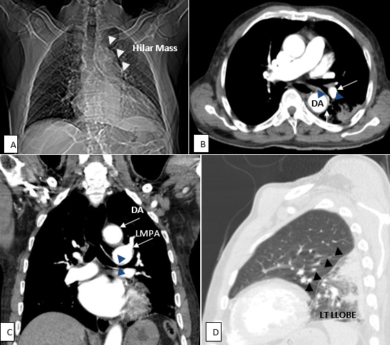
An 80 year old clergy, presented with a 5-day history of left-sided chest pain which was non-radiating but had cough productive of white sputum. No history of haemoptysis, dyspnoea, orthopnoea or paroxysmal nocturnal dyspnoea was elicited. However, a history of smoking 2 cigarettes per day for 10 years was present. He is a known hypertensive on medications,also being managed for diverticulosis and Benign Prostatic Hypertrophy.Respiratory rate was 26cycles per minute with crepitations in the left mid-and lower lung zones. Bilateral pedal oedema was found but the cardiovascular and gastrointestinal systems were normal. Requests for an ultrasound, a chest X-rayCXR and Contrast Enhanced computerised tomography CECT of the chest were made. High resolution CECT of the chest was performed with a 64-slice Toshiba CT. Multiplanar images in axial, coronal and sagittal planes were acquired at 1mm cuts in pre-and post-contrast series. Images depicting the abnormality are shown (A, B, C,D). No further invasive workup like a biopsy was indicated following imaging. Prior to the CECT, bronchogenic CA was considered in view of the long standing smoking history. The role of Computerised tomography in the evaluation of chest symptoms has been emphasised in these images.
Corresponding author
Adenike Temitayo Adeniji-Sofoluwe, University of Ibadan, College of Medicine, Department of Radiology & University College Hospital, Ibadan, Nigeria (omoba30732003@yahoo.com)


The Pan African Medical Journal (ISSN: 1937-8688) is a subsidiary of the Pan African Medical Journal. The contents of this journal is intended exclusively for professionals in the medical, paramedical and public health and other health sectors.

Currently tracked by: DOAJ, AIM, Google Scholar, AJOL, EBSCO, Scopus, Embase, IC, HINARI, Global Health, PubMed Central, PubMed/Medline, ESCI

Physical address: "Kenya: 3rd Floor, Park Suite Building, Parkland Road, Nairobi. PoBox 38583-00100, tel: +254 (0)20-520-4356 | Cameroon: Immeuble TechnoPark Essos, Yaounde, PoBox: 10020 Yaounde, tel: +237 (0)24-309-5880"