Intraventricular glioblastoma

Cherkaoui Mandour, Brahim El Mostarchid

PAMJ. 2014; 18:100. Published 27 May 2014 | doi:10.11604/pamj.2014.18.100.2788

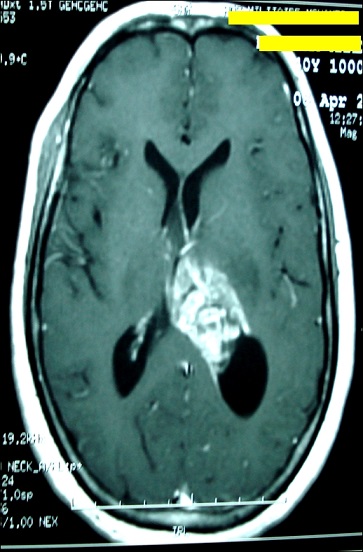
Glioblastoma represents 15%-20% of all intracranial tumors and approximately 50 % of gliomas in adults. Although capable of arising anywhere in the central nervous system, these tumors mainly present as a frontotemporal lesion (63%) of the cerebral cortex. But, intraventricular glioblastoma is rare and only few cases have been reported in the literature. We report a case of 40-year-old woman who had a headache, vomiting and visual disturbances that persisted for four weeks. Magnetic resonance imaging showed an intraventricular lesion with inhomogeneous enhancement and infiltrative borders. These characteristics are consistent with other differential diagnoses: carcinomas, ependymomas and choroid plexus papillomas. The patient underwent a stereotactic biopsy allowed the final diagnosis of intra ventricular glioblastoma.
Corresponding author
Cherkaoui Mandour, Departement of Neurosurgery, Military hospital Mohammed V, Rabat, Morocco (mandour1978@hotmail.com)


The Pan African Medical Journal (ISSN: 1937-8688) is a subsidiary of the Pan African Medical Journal. The contents of this journal is intended exclusively for professionals in the medical, paramedical and public health and other health sectors.

Currently tracked by: DOAJ, AIM, Google Scholar, AJOL, EBSCO, Scopus, Embase, IC, HINARI, Global Health, PubMed Central, PubMed/Medline, ESCI

Physical address: "Kenya: 3rd Floor, Park Suite Building, Parkland Road, Nairobi. PoBox 38583-00100, tel: +254 (0)20-520-4356 | Cameroon: Immeuble TechnoPark Essos, Yaounde, PoBox: 10020 Yaounde, tel: +237 (0)24-309-5880"