Aniridie et aphaquie post traumatique

Othmane Belhadj, Zouheir Hafidi

PAMJ. 2014; 18:24. Published 07 May 2014 | doi:10.11604/pamj.2014.18.24.4012

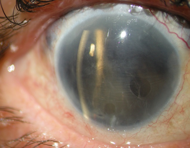
Il s'agit d'un patient âgé de 30 ans sans antécédents notables, victime d'un traumatisme contusif sévère au niveau de son oeil droit suite à une agression, ce qui a occasionné une baisse d'acuité visuelle brutale. Devant la non amélioration de cette symptomatologie, le patient s'est présenté 5 jours plutard aux urgences. L'examen à l'admission à mis en évidence au niveau de l'oeil traumatisé, une acuité visuelle réduite à une perception lumineuse. A la lampe à fente nous avons noté une absence totale de l'iris, une aphaquie (absence de cristallin), du vitré en chambre antérieure avec un fond d'oeil inaccessible à cause d'une hémorragie intravitréenne dense. L'échographie a objectivé une luxation complète du cristallin au niveau de la cavité vitréenne sans décollement de rétine associé. Le patient à bénéficié d'une vitrectomie postérieure avec équipement de l'aphaquie par une lentille de contact. En post opératoire le patient à présenté une photophobie invalidante, ce qui a motivé un équipement par un implant à fixation sclérale avec collerette à iris artificiel réduisant ainsi la gêne fonctionnelle. Les traumatismes oculaires associés aux atteintes irido cristalliniennes sont fréquents, cependant les aniridies totales sont relativement rares et posent un problème de prise en charge. En effet la gestion des aniridies dépend du tissu irien résiduel. En cas d'aniridie partielle une pupilloplastie peut etre envisagé et l'iris peut constituer un plan d'implantation. En cas d'aniridie totale des diaphragmes peuvent palier au problème de photophobie à condition d'avoir un plan capsulaire respecté. Un lit capsulaire défectueux rend cet équipement plus difficile. Dans ce cas on peut envisager un implant à fixation sclérale avec collerette à iris artificiel.
Corresponding author
Othmane Belhadj, Université Mohammed V, Service d’Ophtalmologie A, Hôpital des spécialités, CHU Rabat, Maroc (oth_bel@hotmail.com)


The Pan African Medical Journal (ISSN: 1937-8688) is a subsidiary of the Pan African Medical Journal. The contents of this journal is intended exclusively for professionals in the medical, paramedical and public health and other health sectors.

Currently tracked by: DOAJ, AIM, Google Scholar, AJOL, EBSCO, Scopus, Embase, IC, HINARI, Global Health, PubMed Central, PubMed/Medline, ESCI

Physical address: "Kenya: 3rd Floor, Park Suite Building, Parkland Road, Nairobi. PoBox 38583-00100, tel: +254 (0)20-520-4356 | Cameroon: Immeuble TechnoPark Essos, Yaounde, PoBox: 10020 Yaounde, tel: +237 (0)24-309-5880"