Une métastase cérébrale révélée par une otomastoïdite chronique

Brahim Eljebbouri, Ali Akhaddar

PAMJ. 2014; 18:19. Published 06 May 2014 | doi:10.11604/pamj.2014.18.19.4002

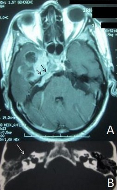
Il s'agit d'un patient de 48 ans suivi depuis 4 ans au service d'ORL pour une otite séromuqueuese droite pour laquelle il a était mis plusieurs fois sous traitement médical à base de corticoïdes et d'antibiotiques locaux et systémiques. A la lumière d'un bilan radiologique ce patient a été déclaré porteur d'une métastase temporale d'un cancer primitif pulmonaire- comprimant la trompe d'eustache, lysant l'os temporal et responsable d'une fuite du liquide cérébrospinal dans le conduit auditif externe (prise à tord comme étant une otomastoïdite). Ce diagnostique de métastase a été confirmé par une biopsie stéréotaxique. Le patient est décédé 4 mois après sa première séance de radiothérapie conventionnelle. Le cancer du poumon est le premier cancer prometteur de métastases cérébrales, la localisation temporale de ces métastases est pourvoyeuse de crises comitiales avec ou sans déficit neurologique. A notre connaissance, il n'a pas été déjà décrit qu'une otomastoïdite peut révélée ce type de lésion qui reste de mauvais pronostique.
Corresponding author
Brahim Eljebbouri, Service de Neurochirurgie, HĂ´pital Militaire dÂ’Instruction Mohamed V, Rabat, Maroc (Eljebbouri.brahim@yahoo.fr)


The Pan African Medical Journal (ISSN: 1937-8688) is a subsidiary of the Pan African Medical Journal. The contents of this journal is intended exclusively for professionals in the medical, paramedical and public health and other health sectors.

Currently tracked by: DOAJ, AIM, Google Scholar, AJOL, EBSCO, Scopus, Embase, IC, HINARI, Global Health, PubMed Central, PubMed/Medline, ESCI

Physical address: "Kenya: 3rd Floor, Park Suite Building, Parkland Road, Nairobi. PoBox 38583-00100, tel: +254 (0)20-520-4356 | Cameroon: Immeuble TechnoPark Essos, Yaounde, PoBox: 10020 Yaounde, tel: +237 (0)24-309-5880"