Kyste mésothelial simple simulant un kyste hydatique

Tarik Souiki, Karim Ibn Majdoub Hassani

PAMJ. 2014; 17:314. Published 25 Apr 2014 | doi:10.11604/pamj.2014.17.314.4369

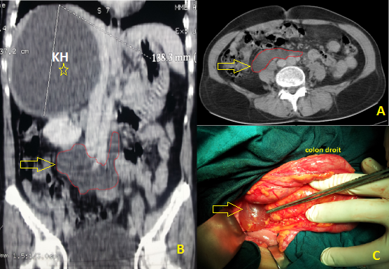
Les kystes mésothéliaux simples sont rares et bénins. Leur pathogénie reste mal élucidée ; Il semble qu'ils sont du à un défaut congénital d'accolement des surfaces péritonéales. Souvent pauci-symptomatiques, Leur découverte peut se faire ainsi fortuitement à l'imagerie, posant alors un problème de diagnostic différentiel par rapport aux autres formations kystiques péritonéales. Seul l'examen anatomopathologique de la pièce opératoire permet de confirmer le diagnostic. Nous rapportons l'observation d'une patiente âgée de 55 ans, sans antécédents notables, admise dans notre service pour prise en charge d'un kyste hydatique du foie : douleur de l'hypochondre droit et image typique à l'échographie d'un kyste hydatique de type 2 (classification de Gharbi) de 14 cm de diamètre, occupant le lobe droit hépatique. Le scanner abdominal réalisé pour une meilleure caractérisation topographique de ce kyste hydatique met en évidence, en plus de ce dernier, une image kystique à contenu liquidien et à paroi non rehaussée après injection de produit de contraste. Elle occupe la région rétro-péritonéale médiane et mesure 9 cm au grand axe (A,B). Vu le contexte clinique, ce kyste aspécifique a été considéré initialement comme une seconde localisation hydatique. L'intervention chirurgicale a été conduite par voie sous costale droite. Un traitement conservateur du KH hépatique a été réalisé dans un premier temps. Ensuite, un décollement colo-pariétal droit fait découvrir un kyste rétro-péritonéal à paroi mince translucide et à contenu séreux (C). Une énucléation de ce kyste a été réalisée. L'examen anatomopathologique porte le diagnostic de kyste mésothélial simple. Le pronostic de cette pathologie bénigne reste excellent avec un risque de récidive nul après exérèse chirurgicale complète.
Corresponding author
Tarik Souiki, Service de Chirurgie Viscérale, CHU Hassan II, Fès, Maroc (souikit@yahoo.fr)


The Pan African Medical Journal (ISSN: 1937-8688) is a subsidiary of the Pan African Medical Journal. The contents of this journal is intended exclusively for professionals in the medical, paramedical and public health and other health sectors.

Currently tracked by: DOAJ, AIM, Google Scholar, AJOL, EBSCO, Scopus, Embase, IC, HINARI, Global Health, PubMed Central, PubMed/Medline, ESCI

Physical address: "Kenya: 3rd Floor, Park Suite Building, Parkland Road, Nairobi. PoBox 38583-00100, tel: +254 (0)20-520-4356 | Cameroon: Immeuble TechnoPark Essos, Yaounde, PoBox: 10020 Yaounde, tel: +237 (0)24-309-5880"