First presentation of guttate psoriasis triggered by acute tonsillitis

Theocharis Koufakis, Ioannis Gabranis

PAMJ. 2014; 17:273. Published 14 Apr 2014 | doi:10.11604/pamj.2014.17.273.4214

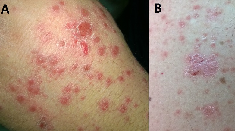
We present a case of a 33 years old man who presented to the Emergency Department of our Hospital with small, red, drop-like lesions located at his arms, legs, torso and back. He had no history of any dermatological disease, but he had a positive maternal family history for plaque psoriasis. The patient had recently recovered from acute tonsillitis after receiving amoxicillin - clavulanic acid therapy. The diagnosis of guttate psoriasis was clinically established, based on the typical presentation and the history of recent upper respiratory infection. He was treated with a combination of oral and topical corticosteroids and he was advised to have frequent follow-up visits to our Dermatology Department. Guttate psoriasis (also known as "Eruptive psoriasis") is more common in young adults and often follows a bacterial or viral infection, but it has also been associated with drugs, stress, skin injury and other trigger factors.
Corresponding author
Theocharis Koufakis, Department of Internal Medicine, General Hospital of Larissa, Larissa, Greece (thkoyfak@hotmail.com)


The Pan African Medical Journal (ISSN: 1937-8688) is a subsidiary of the Pan African Medical Journal. The contents of this journal is intended exclusively for professionals in the medical, paramedical and public health and other health sectors.

Currently tracked by: DOAJ, AIM, Google Scholar, AJOL, EBSCO, Scopus, Embase, IC, HINARI, Global Health, PubMed Central, PubMed/Medline, ESCI

Physical address: "Kenya: 3rd Floor, Park Suite Building, Parkland Road, Nairobi. PoBox 38583-00100, tel: +254 (0)20-520-4356 | Cameroon: Immeuble TechnoPark Essos, Yaounde, PoBox: 10020 Yaounde, tel: +237 (0)24-309-5880"