Masse pré-rénale d’origine surrénalienne: quel est votre diagnostic?

Hind El Aassri, Nawal El Ansari

PAMJ. 2014; 17:154. Published 03 Mar 2014 | doi:10.11604/pamj.2014.17.154.4089

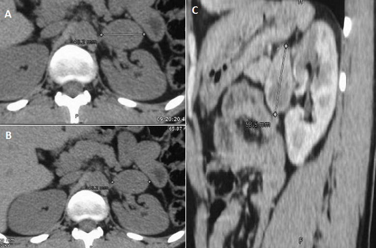
Le scanner ou l’imagerie par résonance magnétique (IRM) sont les examens de première intention afin de localiser une tumeur surrénalienne. L’imagerie doit d’abord explorer les glandes surrénales avec étude des deux jambages de la glande et la recherche de processus tumoral. En effet, pour préciser si la tumeur est d’origine surrénalienne ou pas, il suffit d’étudier ses rapports et son contact avec la glande; en présence d’une tumeur de l’aire surrénalienne refoulant la surrénale, elle est plutôt extrasurrénalienne, et si elle la déforme, la tumeur peut être considérée à priori comme étant d’origine surrénalienne. Nous rapportons le cas d’un patient de 27 ans, ayant comme antécédent un accident vasculaire cérébral ischémique remontant à un an faisant suite à un pic hypertensif. Le diagnostic d’hypertension artérielle a été depuis lors posé. Devant l’âge jeune du patient, un bilan d’hypertension artérielle secondaire a été réalisé, il avait objectivé une élévation significative des dérivés méthoxylés urinaires et du cortisol libre urinaire. Un scanner surrénalien a été, par la suite réalisé, il avait montré des surrénales d’aspect normal avec présence d’une lésion pré rénale gauche au contact du jambage externe de la surrénale mesurant 43 mm ; elle est de forme ovalaire bien limitée spontanément hypodense (A), cette masse se réhausse d’une façon intense et hétérogène après injection de produit de contraste (B). Les coupes sagittales avaient bien montré la localisation pré-rénale de la masse dont le grand axe sagittal est de 54 mm (C)
Corresponding author
Hind El Aassri, Service d’Endocrinologie, Diabétologie et Maladies métaboliques. Laboratoire de recherche PCIM, Faculté de Médecine et de Pharmacie, Université Quadi Ayyad, Marrakech, Maroc (hind1810@gmail.com)


The Pan African Medical Journal (ISSN: 1937-8688) is a subsidiary of the Pan African Medical Journal. The contents of this journal is intended exclusively for professionals in the medical, paramedical and public health and other health sectors.

Currently tracked by: DOAJ, AIM, Google Scholar, AJOL, EBSCO, Scopus, Embase, IC, HINARI, Global Health, PubMed Central, PubMed/Medline, ESCI

Physical address: "Kenya: 3rd Floor, Park Suite Building, Parkland Road, Nairobi. PoBox 38583-00100, tel: +254 (0)20-520-4356 | Cameroon: Immeuble TechnoPark Essos, Yaounde, PoBox: 10020 Yaounde, tel: +237 (0)24-309-5880"