Rétinopathie diabétique proliférante: stade redoutable évoluant vers la cécité

Salim Belhassan, Rajae Daoudi

PAMJ. 2014; 17:124. Published 21 Feb 2014 | doi:10.11604/pamj.2014.17.124.3985

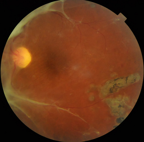
Patiente âgé de 31 ans, originaire d 'un milieu rurale et défavorisé ayant comme antécédent : diabétique type I mal suivie découvert lors d 'un dépistage de masse par une association dans son village et monophtalme de l 'oeil gauche depuis 10 ans. Accuse une baisse de l 'acuité visuelle depuis plus de 5 ans au niveau de l 'oeil gauche, l 'examen actuelle trouve une acuité visuelle a 1/20, le segment antérieur est sans particularité (bonne chambre antérieure, cornée clair, iris de trame et de coloration normale, absence de rubéose irienne, cristallin clair) le tonus oculaire était à 15 mmHg. Le fond d 'oeil trouve quelques impacts de laser en périphérie et surtout en temporal inférieure et une membrane proliférative prenant la totalité du côté nasal arrivant et prenant attache sur la papille avec extension vers les arcades vasculaire supérieure et inférieure temporales. La rétinopathie diabétique proliférante a des conséquences graves sur le pronostique visuel, le diagnostic précoce est la clé du traitement de la rétinopathie diabétique a un stade non encore proliférative. Dans de le présent cas où la rétinopathie diabétique est très évolué le traitement de choix est la panphotocoagulation rétinienne pour éliminer toute zone d 'ischémie et de néovaisceaux et d 'éviter les complications à type de décollement de rétine tractionnelle ou d 'hémorragie intra vitréenne.
Corresponding author
Salim Belhassan, Université Mohammed V Souissi, Service d’Ophtalmologie A de l’hôpital des Spécialités, Centre Hospitalier Universitaire, Rabat, Maroc (belhassansalim@gmail.com)


The Pan African Medical Journal (ISSN: 1937-8688) is a subsidiary of the Pan African Medical Journal. The contents of this journal is intended exclusively for professionals in the medical, paramedical and public health and other health sectors.

Currently tracked by: DOAJ, AIM, Google Scholar, AJOL, EBSCO, Scopus, Embase, IC, HINARI, Global Health, PubMed Central, PubMed/Medline, ESCI

Physical address: "Kenya: 3rd Floor, Park Suite Building, Parkland Road, Nairobi. PoBox 38583-00100, tel: +254 (0)20-520-4356 | Cameroon: Immeuble TechnoPark Essos, Yaounde, PoBox: 10020 Yaounde, tel: +237 (0)24-309-5880"