Painless extensive ossification of the Achilles tendon: a diagnostic trap?

Ali Akhaddar

PAMJ. 2014; 17:120. Published 18 Feb 2014 | doi:10.11604/pamj.2014.17.120.3935

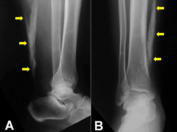
A 52-year-old man, previously healthy with no known metabolic or systemic illness, presented acutely following a direct trauma of the right foot. On examination there was soft tissue swelling and tenderness around the dorsum of the foot without neurological deficit. Plain radiography of the foot and the leg revealed a 10 centimeters ossification within the right Achilles tendon without fracture. The patient had no previous ankle problems. Local examination revealed a painless palpable gap and hard edges in the Achilles tendon but there are no disorders in walking. Because the patient was asymptomatic, no surgery was performed. Ossification of the Achilles tendon is an unusual clinical condition to be distinguished from the more frequently occurring tendon calcification. It is characterized by the presence of one or more segments of variable sized ossified mass within the fibrocartilaginous substance of the Achilles tendon. The etiology of this local ossification is unknown. The major contributing factors are trauma (especially repetitive microtrauma) and surgery with other minor causes such as systemic diseases, metabolic conditions, and infections. A large and extensive ossification for more than half of the tendon is rare and should not be misdiagnosed as a fracture or a foreign body particularly following an injury.
Corresponding author
Ali Akhaddar, Department of Neurosurgery, Avicenne Military Hospital, Marrakech, Morocco (akhaddar@hotmail.fr)


The Pan African Medical Journal (ISSN: 1937-8688) is a subsidiary of the Pan African Medical Journal. The contents of this journal is intended exclusively for professionals in the medical, paramedical and public health and other health sectors.

Currently tracked by: DOAJ, AIM, Google Scholar, AJOL, EBSCO, Scopus, Embase, IC, HINARI, Global Health, PubMed Central, PubMed/Medline, ESCI

Physical address: "Kenya: 3rd Floor, Park Suite Building, Parkland Road, Nairobi. PoBox 38583-00100, tel: +254 (0)20-520-4356 | Cameroon: Immeuble TechnoPark Essos, Yaounde, PoBox: 10020 Yaounde, tel: +237 (0)24-309-5880"