L’atteinte oculaire au cours de l’hypertension artérielle maligne

Zouheir Hafidi , Rajae Daoudi

PAMJ. 2014; 17:9. Published 14 Jan 2014 | doi:10.11604/pamj.2014.17.9.3804

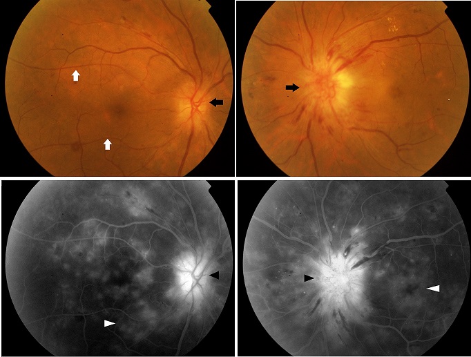
Une patiente âgée de 55 ans suivie pour une hypertension artérielle (mauvaise observance) est admise pour une baisse brutale d'acuité visuelle dans un contexte de céphalées et des acouphènes. A l'examen l'acuité visuelle était de 2/10e au niveau de l'oeil droit et compte les doigts à 1 mètre au niveau de l'oeil gauche, l'examen du fond d'oeil révèle un oedème papillaire bilatéral plus marqué à gauche avec des hémorragies en flammèches et des exsudats secs, par ailleurs il y avait un rétrécissement marqué de tout l'arbre vasculaires artériel. Le reste de l'examen général a mis en évidence une TA de 220mmhg de systolique et 110mmgh de diastolique. Après rééquilibration rapide de la TA un bilan a été réalisé à savoir : urée, créatinine dans le sang, ionogramme sanguin complet qui n'a pas révélé d'anomalies. Une TDM cérébrale a permis d'éliminer un processus expansif intracrânien, une hydrocéphalie et une thrombose veineuse. La patiente fut alors adressée au département de cardiologie pour complément de prise en charge. L'angiographie rétinienne a mis en évidence une forte rétention papillaire de la fluorescéine avec des altérations diffusantes de tout le lit capillaire rétinien en rapport avec l'altération de la barrière hémato rétinienne.L'Hypertension artérielle maligne correspond à une augmentation rapide et sévère des chiffres tensionnels. Cette entité concerne moins de 1% des patients hypertendus et constitue une urgence vitale par atteinte des organes cibles (cerveau, oeil, coeur, reins) avec un risque important de : AVC hémorragique, IDM, insuffisance rénale. Sur le plan ophtalmologique, et en l'absence d'une prise en charge rapide, il existe un risque important d'atrophie optique avec perte visuelle définitive secondaire à une neuropathie optique ischémique.
Corresponding author
Zouheir Hafidi, Université Mohammed V Souissi, Service d’Ophtalmologie A de l’hôpital des spécialités, Centre Hospitalier Universitaire, Rabat, Maroc (zouheirhafidi@gmail.com)


The Pan African Medical Journal (ISSN: 1937-8688) is a subsidiary of the Pan African Medical Journal. The contents of this journal is intended exclusively for professionals in the medical, paramedical and public health and other health sectors.

Currently tracked by: DOAJ, AIM, Google Scholar, AJOL, EBSCO, Scopus, Embase, IC, HINARI, Global Health, PubMed Central, PubMed/Medline, ESCI

Physical address: "Kenya: 3rd Floor, Park Suite Building, Parkland Road, Nairobi. PoBox 38583-00100, tel: +254 (0)20-520-4356 | Cameroon: Immeuble TechnoPark Essos, Yaounde, PoBox: 10020 Yaounde, tel: +237 (0)24-309-5880"