Aneurysm of the thoracic and abdominal aorta in a patient aged 67 years detected incidentally in pre-anesthesia consultation

Zine el Abidine Benali, Hatim Abdedaim

PAMJ. 2013; 16:155. Published 22 Dec 2013 | doi:10.11604/pamj.2013.16.155.3263

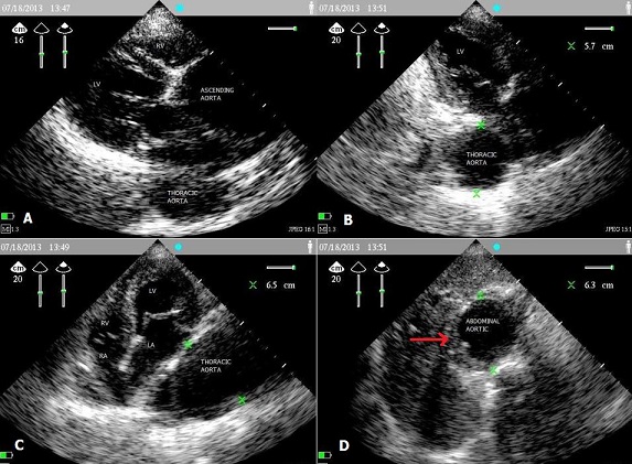
An aneurysm is a localized irreversible dilatation of the aortic wall resulting from an alteration of elastic fibers in the media. The main risk is rupture. It depends on the size and growth rate. Abdominal ultrasound has become the easiest and most reproducible for screening, only the anteroposterior and transverse diameters must be selected. We report the case of patient a 67 years old, saw pre-anesthesia consultation revealed fortuitously an aneurysm of the ascending aorta of 7.5 cm diameter, 5.7 cm of the descending thoracic aorta, and 6.3 cm of the abdominal aorta below the renal arteries associated with thrombus.the patient is referred by treatment to the cardiovascular consultation, to discuss the treatment of aneurysm first before any surgery.
Corresponding author
Zine el Abidine Benali, Department of Anesthesiology, Chp Eddarak, Berkane, Morocco (benazine1@yahoo.fr)


The Pan African Medical Journal (ISSN: 1937-8688) is a subsidiary of the Pan African Medical Journal. The contents of this journal is intended exclusively for professionals in the medical, paramedical and public health and other health sectors.

Currently tracked by: DOAJ, AIM, Google Scholar, AJOL, EBSCO, Scopus, Embase, IC, HINARI, Global Health, PubMed Central, PubMed/Medline, ESCI

Physical address: "Kenya: 3rd Floor, Park Suite Building, Parkland Road, Nairobi. PoBox 38583-00100, tel: +254 (0)20-520-4356 | Cameroon: Immeuble TechnoPark Essos, Yaounde, PoBox: 10020 Yaounde, tel: +237 (0)24-309-5880"