Maladie de Kaposi classique avec atteinte du système musculo-squelettique: un nouveau cas
Meryem Soughi, Fatima Zahra Mernissi
Corresponding author: Meryem Soughi, CHU Hassan II, Fès, Maroc 
Received: 07 May 2013 - Accepted: 09 May 2013 - Published: 15 Jan 2014
Domain: Clinical medicine
Keywords: Maladie de Kaposi, système musculo-squelettique
©Meryem Soughi et al. Pan African Medical Journal (ISSN: 1937-8688). This is an Open Access article distributed under the terms of the Creative Commons Attribution International 4.0 License (https://creativecommons.org/licenses/by/4.0/), which permits unrestricted use, distribution, and reproduction in any medium, provided the original work is properly cited.
Cite this article: Meryem Soughi et al. Maladie de Kaposi classique avec atteinte du système musculo-squelettique: un nouveau cas. Pan African Medical Journal. 2014;17:17. [doi: 10.11604/pamj.2014.17.17.2804]
Available online at: https://www.panafrican-med-journal.com//content/article/17/17/full
Original article 
Maladie de Kaposi classique avec atteinte du système musculo-squelettique: un nouveau cas
Maladie de Kaposi classique avec atteinte du système musculo-squelettique: un nouveau cas
Meryem Soughi1,&, Fatima Zahra Mernissi1
1CHU Hassan II, Fès, Maroc
&Auteur correspondant
Meryem Soughi, CHU Hassan II, Fès, Maroc
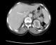
La maladie de Kaposi est une maladie angioproliferative multifocale, dont les localisations cutanéo-muqueuses sont les plus fréquentes. Nous en rapportons un cas avec une atteinte musculo squelettique. Patiente de 55 ans, présente depuis un an de multiples nodules angiomateux confluents en des tumeurs ulcéro bourgeonnantes sur un placard hyperpigmenté et oedème de la jambe gauche, associés à des macules angiomateuses de la plante du pied droit. La biopsie cutanée était en faveur d'une maladie de kaposi, la sérologie VIH était négative. Le bilan lésionnel objectivait une lyse du premier et du deuxième métatarsien, des micronodules parenchymateux pulmonaires bilatéraux, des adénopathies pré trachéales, et une lésion musculaire para vertébrale de 3 cm prenant fortement le contraste (figure 1). L'atteinte du système musculo-squelettique dans la maladie de Kaposi est très rare, seulement 66 cas publiés dans la littérature, dont 3 uniquement comprenaient une atteinte musculaire, avec une sérologie VIH positive. Les lésions osseuses étaient les plus fréquentes. Les patients étaient rarement asymptomatiques, presque tous les patients avaient des lésions concomitantes non osseuses. Chez notre patiente, il s'agit d'une maladie de Kaposi classique avec une atteinte multifocale: cutanée, pulmonaire, ganglionnaire, osseuse par contigüité et musculaire para vertébrale sans atteinte cutanée en regard, ce qui fait la particularité de notre observation. Un traitement à base d'une chimiothérapie était instauré avec une bonne réponse. L'atteinte du système musculo squelettique bien qu'elle est rarissime, son exploration n'est pas systématique tant qu'elle est asymptomatique, sa prise en charge rejoint celle de la maladie de kaposi.
Figure 1 : coupe axiale montrant une lésion musculaire para vertébrale droite de 3 cm prenant fortement le contraste


