Pedunculated osteochondroma of right humerus

Amit Toshniwal, Dhairya Veragiwala

PAMJ. 2026; 53:64. Published 06 Feb 2026 | doi:10.11604/pamj.2026.53.64.48298

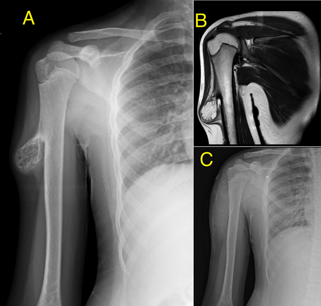
A 16-year-old boy presented with a painless, hard swelling over the lateral aspect of his right upper arm. There was no history of trauma, constitutional symptoms, or functional limitations. On clinical examination, the mass was firm and nontender. Radiography of the right upper limb revealed a solid, irregular outgrowth of the right humerus (A). Magnetic resolution imaging (MRI) revealed a bony outgrowth arising from the lateral aspect of the diaphysis of the right humerus, suggestive of a pedunculated osteochondroma (B). Owing to cosmetic concerns and the potential risk of neurovascular compression, surgical excision was performed. Histopathological examination confirmed a benign osteochondroma with no evidence of malignant transformation. The postoperative radiography revealed cosmetic improvement (C) and the patient remained asymptomatic. This case underscores the importance of recognising osteochondroma as a common benign entity in adolescents, while also considering the need for surgical intervention in symptomatic or cosmetic cases. Early imaging and appropriate management can prevent complications, particularly in lesions with atypical growth or proximity to vital structures.
Corresponding author
Amit Toshniwal, Department of Respiratory Medicine, Datta Meghe Institute of Higher Education and Research, Wardha, Maharashtra, India (amit37tt11@gmail.com)

This image

  • HTML
  • PDF in process
Articles published in PAMJ are Open Access and distributed under the terms of the Creative Commons Attribution 4.0 International (CC BY 4.0).

eISSN: 1937-8688


The Pan African Medical Journal (ISSN: 1937-8688) is a subsidiary of the Pan African Medical Journal. The contents of this journal is intended exclusively for professionals in the medical, paramedical and public health and other health sectors.

Currently tracked by: DOAJ, AIM, Google Scholar, AJOL, EBSCO, Scopus, Embase, IC, HINARI, Global Health, PubMed Central, PubMed/Medline, ESCI

Physical address: "Kenya: 3rd Floor, Park Suite Building, Parkland Road, Nairobi. PoBox 38583-00100, tel: +254 (0)20-520-4356 | Cameroon: Immeuble TechnoPark Essos, Yaounde, PoBox: 10020 Yaounde, tel: +237 (0)24-309-5880"