A bag of stones found incidentally
Yoen Young Chuah, Wen-Tzong Lee
Corresponding author: Wen-Tzong Lee, Department of Biomechatronics Engineering, National Pingtung University of Science and Technology, Pingtung, Taiwan 
Received: 29 Jan 2026 - Accepted: 07 Feb 2026 - Published: 13 Feb 2026
Domain: Gastroenterology
Keywords: Gallstones, abdominal pain, incidental
Funding: This work received no specific grant from any funding agency in the public, commercial, or non-profit sectors.
©Yoen Young Chuah et al. Pan African Medical Journal (ISSN: 1937-8688). This is an Open Access article distributed under the terms of the Creative Commons Attribution International 4.0 License (https://creativecommons.org/licenses/by/4.0/), which permits unrestricted use, distribution, and reproduction in any medium, provided the original work is properly cited.
Cite this article: Yoen Young Chuah et al. A bag of stones found incidentally. Pan African Medical Journal. 2026;53:83. [doi: 10.11604/pamj.2026.53.83.51341]
Available online at: https://www.panafrican-med-journal.com//content/article/53/83/full
A bag of stones found incidentally
&Corresponding author
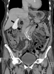
A 91-year-old woman presented with right flank pain for two days without fever, dysuria, trauma, or recent falls. Physical examination revealed no costovertebral angle tenderness. Laboratory tests showed an elevated C-reactive protein level of 3.6 mg/dL without leukocytosis. Urinalysis demonstrated pyuria and bacteriuria. She was treated empirically for acute pyelonephritis with intravenous cefoxitin, and urine culture later grew Escherichia coli sensitive to cephalosporins. Abdominal computed tomography (CT) revealed rupture of a right renal cyst. Incidentally, the gallbladder was filled with multiple small, round, hyperdense calculi, producing a striking "bag of stones" appearance (image 1, arrow). These findings were consistent with asymptomatic cholelithiasis. The patient's flank pain improved after a 7-day course of antibiotics. She was discharged in stable condition, and outpatient follow-up was unremarkable. Asymptomatic gallstones are commonly detected incidentally, and most patients remain symptom-free; therefore, expectant management is generally recommended. Prophylactic cholecystectomy is reserved for selected high-risk patients, such as those with porcelain gallbladder, large gallstones (>3 cm), anomalous pancreaticobiliary ductal junctions, gallbladder adenomas, or underlying hemolytic disorders.
Figure 1: abdominal CT showing numerous small, round hyperdense gallstones filling the gallbladder, giving a characteristic “bag of stones” appearance (arrow)




