Carcinome à cellules claires du col de l´utérus en Mauritanie: à propos d´un cas
Ahmed El Heiba Mamina, Khadijetou Vilaly, Ekht Elbenina Zein, Mohamed Nouh Memah, El Hadj Menny, Ahmedou Tolba, Mouna Mohamed Yaya Elkherchy
Corresponding author: Ahmed El Heiba Mamina, Faculté de Médecine, de Pharmacie et d'Odonto-Stomatologie, Service d'Anatomie et de Cytologie Pathologique, Centre National d'Oncologie, Nouakchott, Mauritanie, Centre Hospitalier National, Nouakchott, Mauritanie 
Received: 30 Aug 2025 - Accepted: 05 Jan 2026 - Published: 26 Jan 2026
Domain: Epidemiology,Laboratory medicine,Gynecology
Keywords: Carcinome à cellules claires, cancer du col de l´utérus, radiochimiothérapie, Mauritanie, cas clinique
Funding: Ce travail n'a reçu aucune subvention spécifique d'un organisme de financement des secteurs public, commercial ou à but non lucratif.
©Ahmed El Heiba Mamina et al. Pan African Medical Journal (ISSN: 1937-8688). This is an Open Access article distributed under the terms of the Creative Commons Attribution International 4.0 License (https://creativecommons.org/licenses/by/4.0/), which permits unrestricted use, distribution, and reproduction in any medium, provided the original work is properly cited.
Cite this article: Ahmed El Heiba Mamina et al. Carcinome à cellules claires du col de l´utérus en Mauritanie: à propos d´un cas. Pan African Medical Journal. 2026;53:32. [doi: 10.11604/pamj.2026.53.32.49183]
Available online at: https://www.panafrican-med-journal.com//content/article/53/32/full
Carcinome à cellules claires du col de l'utérus en Mauritanie: à propos d'un cas
Clear cell carcinoma of the cervix in Mauritania: a case report
Ahmed El Heiba Mamina1,&, Khadijetou Vilaly2, Ekht Elbenina Zein3, Mohamed Nouh Memah3, El Hadj Menny3,
Ahmedou Tolba3, Mouna Mohamed Yaya Elkherchy4
&Auteur correspondant
Le carcinome à cellules claires (CCC) du col de l'utérus est un cancer rare, surtout en l'absence d'exposition au diéthylstilbestrol (DES). Ce cas est unique car il concerne une patiente de 40 ans sans antécédents d'exposition au DES, illustrant les défis diagnostiques et thérapeutiques dans un contexte à ressources limitées, comme la Mauritanie. La patiente présentait des saignements vaginaux persistants, avec une masse détectée lors d'un examen gynécologique. Le diagnostic final de CCC a été confirmé par des examens histopathologiques et immunohistochimiques. Le traitement a consisté en une radiothérapie externe et une chimiothérapie, suivies d'une colpohystérectomie élargie, sans recours à la curiethérapie en raison de contraintes techniques. La patiente a bien répondu au traitement avec une absence de récidive clinique et radiologique. Ce cas met en évidence la faisabilité d'une prise en charge multidisciplinaire efficace des tumeurs rares du col de l'utérus dans des contextes à ressources limitées.
Clear cell carcinoma (CCC) of the cervix is a rare cancer, particularly in the absence of exposure to diethylstilbestrol (DES). This case is unique because it involves a 40-year-old patient with no history of DES exposure, illustrating the diagnostic and therapeutic challenges in a resource-limited setting such as Mauritania. The patient presented with persistent vaginal bleeding, and a mass was detected during a gynaecological examination. The final diagnosis of CCC was confirmed by histopathological and immunohistochemical examination. Treatment consisted of external radiotherapy and chemotherapy, followed by an extended colpohysterectomy, without the use of brachytherapy because of technical constraints. The patient responded well to treatment, with no clinical or radiological evidence of recurrence. This case underscores the feasibility of effective multidisciplinary management of rare cervical tumors in resource-limited settings.
Keywords: Clear cell carcinoma, cervical cancer, chemoradiotherapy, Mauritania, case report
Le cancer du col de l'utérus est le cancer gynécologique le plus fréquent à l'échelle internationale [1]. En Mauritanie, il se classe au deuxième rang après le cancer du sein [2]. Les sous-types histologiques les plus courants sont le carcinome épidermoïde (82,8%) et l'adénocarcinome (9,6%) [3]. Le CCC est un type rare de cancer, représentant environ 4% des adénocarcinomes cervicaux. Historiquement, il est principalement associé à l'exposition intra-utérine au diéthylstilbestrol (DES), bien que des cas aient été signalés chez des femmes sans antécédents d'exposition au DES, y compris chez des enfants et des adultes. Ce type de carcinome peut également se développer dans d'autres sites du tractus génital féminin, tels que le vagin, l'endomètre et les ovaires [1].
Ce cas clinique concerne une patiente de 40 ans sans exposition connue au DES, illustrant la complexité du diagnostic et de la prise en charge thérapeutique dans le contexte mauritanien ainsi que la spécificité de cette maladie. L'objectif de ce rapport est de présenter les caractéristiques cliniques, les méthodes diagnostiques et les options thérapeutiques du carcinome à cellules claires du col de l'utérus, tout en contribuant à la littérature limitée sur le sujet, notamment en Mauritanie et plus largement en Afrique. Ce travail vise à fournir des informations utiles pour orienter les futurs protocoles de prise en charge.
Présentation de la patiente: la patiente, âgée de 40 ans, s'est présentée avec des saignements vaginaux irréguliers. Elle est atteinte d'hypothyroïdie, diagnostiquée deux ans auparavant, et est sous traitement substitutif. Elle n'a pas d'antécédents familiaux de cancer connus. Sa ménarche a eu lieu à l'âge de 14 ans, et elle avait des cycles menstruels réguliers jusqu'à l'apparition des symptômes actuels. Elle ne présente aucun antécédent d'exposition intra-utérine au DES. Les symptômes ont débuté après un épisode d'avortement spontané, associé à des pertes blanchâtres et des saignements persistants, motivant une consultation gynécologique.
Chronologie: en janvier 2024, la patiente a présenté un épisode d'avortement spontané suivi de saignements persistants et de pertes blanchâtres, conduisant à une consultation gynécologique au cours de laquelle une masse bourgeonnante et saignante du col utérin a été mise en évidence. Une première biopsie réalisée le 9 janvier 2024 a suggéré un processus tumoral utérin, conduisant à une relecture anatomopathologique et à de nouvelles biopsies le 25 janvier 2024. Le 30 janvier 2024, l'examen histopathologique a évoqué un carcinome à cellules claires du col de l'utérus, nécessitant une confirmation immunohistochimique. Le 19 février 2024, la tomodensitométrie thoraco-abdomino-pelvienne n'a pas révélé de métastase. Le 22 février 2024, l'étude immunohistochimique a confirmé le diagnostic. Le 27 février 2024, l'imagerie par résonance magnétique (IRM) abdomino-pelvienne a montré une tumeur cervicale localement avancée de stade IIIA mesurant 36 x 50 mm avec des adénopathies iliaques externes gauches. Entre le 28 avril et le 4 juin 2024, la patiente a reçu une radiochimiothérapie concomitante. Le 16 juin 2024, l'IRM de contrôle a montré une disparition quasi complète de la tumeur. Le 18 juillet 2024, une colpohystérectomie élargie a été réalisée, et le 1er août 2024, l'examen anatomopathologique de la pièce opératoire n'a retrouvé aucun reliquat tumoral.
Résultats cliniques: à l'examen physique, la patiente présentait une pâleur, avec des signes vitaux normaux. L'examen gynécologique a révélé une masse bourgeonnante du col de l'utérus, saignant au contact, justifiant la réalisation de biopsies cervicales.
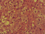
Démarche diagnostique: la démarche diagnostique a débuté par un examen gynécologique complet suivi de biopsies cervicales initiales. En raison d'une discordance entre les données cliniques et la première biopsie, une relecture anatomopathologique associée à de nouvelles biopsies a été demandée. L'examen histologique a montré une prolifération tumorale faite de massifs solides avec de rares structures glandulaires, constituée de cellules polygonales à cytoplasme clair ou éosinophile modérément abondant, avec des atypies cytonucléaires marquées et de nombreuses mitoses. Le stroma était fibro-œdémateux avec congestion vasculaire et suffusions hémorragiques, sans signe de différenciation malpighienne (Figure 1, Figure 2). L'étude immunohistochimique a montré une expression nucléaire focale de p16, sans expression de p63 ni de P40, confirmant un adénocarcinome à cellules claires du col de l'utérus. La tomodensitométrie thoraco-abdomino-pelvienne n'a pas mis en évidence de métastases, tandis que l'IRM abdomino-pelvienne a montré une tumeur cervicale localement avancée avec adénopathies iliaques externes gauches (Figure 3, Figure 4). Les diagnostics différentiels envisagés comprenaient un carcinome épidermoïde du col de l'utérus et d'autres types d'adénocarcinomes cervicaux. Les données histopathologiques et immunohistochimiques ont permis d'écarter ces hypothèses et de retenir le diagnostic final de carcinome à cellules claires du col de l'utérus.
Facteurs pronostiques: la taille de la tumeur (36 mm x 50 mm), le stade avancé localement (stade IIIA), et l'absence de métastases détectées par TAP sont des facteurs importants dans l'évaluation du pronostic. La présence d'adénopathies iliaques externes gauches constitue également un facteur pronostique défavorable.
Intervention thérapeutique: la prise en charge thérapeutique a reposé sur une radiothérapie externe délivrée à une dose totale de 70 Gy en 35 séances, associée à une chimiothérapie hebdomadaire à base de cisplatine (40 mg/m2), administrée entre le 28 avril et le 4 juin 2024. La curiethérapie n'a pas pu être réalisée en raison d'un défaut technique, limitant l'approche thérapeutique classique. Malgré cette contrainte, une réponse tumorale quasi complète a été obtenue. Une colpohystérectomie élargie a été réalisée le 18 juillet 2024, sans complication peropératoire ou postopératoire, et l'examen anatomopathologique de la pièce opératoire n'a montré aucun reliquat tumoral (Figure 5).
Suivi et résultats des interventions thérapeutiques: la patiente a bien toléré l'ensemble des traitements, sans effet indésirable significatif rapporté. Le suivi clinique et radiologique n'a pas mis en évidence de récidive. L'hypothyroïdie était bien équilibrée sous traitement substitutif.
Perspectives de la patiente: la patiente a exprimé son point de vue concernant sa prise en charge: « j'attendais plutôt un enfant, mais j'ai fait une fausse couche aboutissant à la détection de cette tumeur. Tout ce que fait Dieu est bon, Dieu merci. Je suis très reconnaissante pour le traitement opportun que j'ai reçu ».
Consentement éclairé: le consentement éclairé a été obtenu auprès de la patiente pour la publication de ce rapport de cas ainsi que de toutes les images qui l'accompagnent, et peut être fourni sur demande.
Le CCC est un cancer rare, représentant environ 4% des adénocarcinomes cervicaux. Historiquement, il est associé à l'exposition intra-utérine au diéthylstilbestrol (DES) dans environ deux tiers des cas. Néanmoins, des cas ont été signalés chez des femmes adultes et des enfants sans antécédents d'exposition au DES, comme illustré dans notre observation [1]. L'étude de Herbst et al. a initialement établi le lien entre l'exposition au DES pendant la grossesse et l'apparition de ce type de cancer, principalement chez des femmes jeunes exposées in utero [4]. La survenue de CCC chez des patientes sans exposition connue au DES suggère l'intervention d'autres facteurs étiologiques potentiels, décrits dans la littérature (surexpression de p53, HPV, bcl-2, instabilité des microsatellites) [1]. Une analyse comparative a montré que l'âge moyen des patientes sans exposition au DES était de 47 ans [5], tandis qu'une autre étude a rapporté un âge médian de 38 ans [6], plaçant notre patiente de 40 ans dans la tranche d'âge habituellement décrite.
Les manifestations cliniques du CCC sont souvent non spécifiques, dominées par des saignements vaginaux irréguliers, comme observé chez notre patiente après un avortement spontané [1,7]. Cette présentation peu spécifique peut retarder le diagnostic, les symptômes étant parfois attribués à des troubles gynécologiques bénins. Les carcinomes à cellules claires sont ainsi souvent diagnostiqués à un stade légèrement plus avancé que les autres adénocarcinomes cervicaux [8]. Dans notre cas, la discordance initiale entre les données cliniques et la première biopsie a constitué une difficulté diagnostique, nécessitant une relecture anatomopathologique et de nouvelles biopsies, ce qui souligne l'importance de la collaboration clinico-pathologique dans la prise en charge de tumeurs rares [6,9]. Le point fort principal de ce rapport réside dans la confirmation diagnostique reposant sur l'histologie, l'immunohistochimie et l'imagerie (TAP et IRM), permettant une stadification et une stratégie thérapeutique adaptées.
Le diagnostic anatomopathologique repose sur des caractéristiques morphologiques spécifiques, et l'immunohistochimie joue un rôle déterminant pour écarter les diagnostics différentiels, notamment le carcinome épidermoïde du col utérin. L'absence d'expression de p40 et p63, associée à une expression focale de p16, a permis de confirmer le diagnostic de CCC dans notre cas [10]. Concernant l'hypothyroïdie, aucune relation causale ne peut être conclue dans le cadre d'un rapport de cas; les données disponibles concernent surtout d'autres cancers, avec un risque potentiellement accru en cas d'hypothyroïdie subclinique non traitée et un possible effet protecteur du traitement substitutif [7]. Ainsi, l'évocation de cette comorbidité doit être interprétée avec prudence et ne constitue pas une conclusion étiologique.
En raison de la rareté du CCC, les stratégies thérapeutiques sont généralement extrapolées de celles des carcinomes épidermoïdes et des autres adénocarcinomes cervicaux [8]. Le traitement standard des cancers du col de l'utérus localement avancés repose sur la radiochimiothérapie concomitante suivie d'une curiethérapie utérovaginale [1-4]. Dans notre cas, l'absence de curiethérapie pour des raisons techniques constitue une limite majeure, avec un impact potentiel sur le contrôle local et la préservation de la fertilité [1,5]. Malgré cela, la radiochimiothérapie suivie d'une colpohystérectomie élargie a permis une réponse complète, sans reliquat tumoral. Le pronostic du CCC dépend du stade, de la taille tumorale et des caractéristiques histologiques, avec un taux de survie à cinq ans estimé à environ 40% [9]. Les limites de ce rapport tiennent au caractère isolé du cas et à la durée de suivi, qui restreignent la portée des conclusions. Néanmoins, ce cas justifie de conclure à la faisabilité d'une prise en charge multidisciplinaire efficace d'un CCC localement avancé dans un contexte à ressources limitées, sous réserve d'un suivi prolongé.
Ce cas d'adénocarcinome à cellules claires du col de l'utérus chez une femme de 40 ans sans exposition au DES illustre la complexité diagnostique de cette entité rare et l'importance d'une collaboration multidisciplinaire. Il montre qu'une prise en charge combinant radiochimiothérapie et chirurgie peut permettre une réponse favorable, même en l'absence de curiethérapie pour des raisons techniques. Ce rapport de cas souligne la faisabilité d'une prise en charge efficace des cancers cervicaux rares dans des contextes à ressources limitées et contribue à enrichir les données disponibles dans la littérature africaine.
Les auteurs ne déclarent aucun conflit d'intérêts
Conception de l'étude, rédaction et révision du manuscrit: Ahmed El Heiba Mamina. Collecte des données: Ahmed El Heiba Mamina, Khadijetou Vilaly, Mohamed Nouh Memah, Ahmedou Tolba. Analyse et interprétation des données: Ahmed El Heiba Mamina, Ahmedou Tolba, Khadijetou Vilaly, Ekht Elbenina Zein, Mohamed Nouh Memah, El Hadj Menny, Mouna Mohamed Yaya Elkherchy. Tous les auteurs ont lu et approuvé la version finale du manuscrit.
Figure 1: aspect histologique tumoral à faible et moyen grossissement; A) architecture solide de la tumeur, composée de cellules éosinophiles et claires, x100; B) architecture tubulaire de la tumeur, constituée de cellules éosinophiles et claires, x200
Figure 2: détails cytologiques de la prolifération tumorale; cellules éosinophiles et claires hautement atypiques, avec des noyaux hyperchromatiques et de nombreuses mitoses, x400
Figure 3: A) IRM avant traitement montrant une tumeur du col de l'utérus localement avancée, stade IIIA, mesurant 36 mm x 50 mm (cercle rouge); B) IRM après radiochimiothérapie montrant une disparition quasi-totale de la tumeur (flèche rouge)
Figure 4: A) IRM avant traitement montrant une tumeur du col de l'utérus localement avancée, stade IIIA, mesurant 36 mm x 50 mm (cercle rouge); B) IRM après radiochimiothérapie montrant une disparition quasi-totale de la tumeur (flèche rouge)
Figure 5: étude histologique de la pièce opératoire après traitement: A) absence de reliquat tumoral identifiable, associée à une fibrose marquée, x100; B) absence de reliquat tumoral décelable, avec infiltrat inflammatoire moyennement abondant et diffus, x200
- Bujor IE, Lozneanu L, Ursache A, Cristofor A, Scurtu A-M, Plamadeala P et al. Primary Clear Cell Adenocarcinoma of the Uterine Cervix in a 14-Year-Old Virgin Girl: Case Report. Int J Environ Res Public Health. 2022 Dec 11;19(24):16652. PubMed | Google Scholar
- Mohamed Brahim S, Zein E, Houmeida A, Tolba A. General Oncology Care in Mauritania. Cancer in the Arab World 2022 Mar 16 (pp. 149-161). Google Scholar
- Baba NDOM, Sauvaget C. Le cancer en Mauritanie: résultats sur 10 ans du registre hospitalier de Nouakchott. Pan Afr Med J. 2013 Apr 14;14:149. French. PubMed | Google Scholar
- Herbst AL, Ulfelder H, Poskanzer DC. Adenocarcinoma of the vagina. Association of maternal stilbestrol therapy with tumor appearance in young women. N Engl J Med. 1971 Apr 22;284(15):878-81. PubMed | Google Scholar
- Reich O, Tamussino K, Lahousen M, Pickel H, Haas J, Winter R. Clear cell carcinoma of the uterine cervix: pathology and prognosis in surgically treated stage IB-IIB disease in women not exposed in utero to diethylstilbestrol. Gynecol Oncol. 2000 Mar;76(3):331-5. PubMed | Google Scholar
- Jiang X, Jin Y, Li Y, Huang H-F, Wu M, Shen K et al. Clear cell carcinoma of the uterine cervix: clinical characteristics and feasibility of fertility-preserving treatment. Onco Targets Ther. 2014 Jan 9;7:111-6. PubMed | Google Scholar
- Gómez-Izquierdo J, Filion KB, Boivin J-F, Azoulay L, Pollak M, Yu OHY. Subclinical hypothyroidism and the risk of cancer incidence and cancer mortality: a systematic review. BMC Endocr Disord. 2020 Jun 9;20(1):83. PubMed | Google Scholar
- Wang D, Zhao C, Fu L, Liu Y, Zhang W, Xu T. Primary Clear Cell Adenocarcinoma of the Cervix: A Clinical Analysis of 18 Cases without Exposure to Diethylstilbestrol. Obstet Gynecol Int. 2019 Mar 26;2019:9465375. PubMed | Google Scholar
- Hurt WG, Silverberg SG, Frable WJ, Belgrad R, Crooks LD. Adenocarcinoma of the cervix: histopathologic and clinical features. Am J Obstet Gynecol. 1977 Oct 1;129(3):304-15. PubMed | Google Scholar
- Sawsan I, Yahya JI. Elshimali. Pathology Outlines. 20 February 2024. Accessed to 25 October 2024.









