Thalamo-peduncular germinoma in a young adult: a case report
Mohamed Saadoune, Khaoula Ait Benkacem, Samir Barkiche, Mouna Khouchani
Corresponding author: Mohamed Saadoune, Service of Radiation Oncology/Morpho-science Laboratory, University Cadi Ayyad of Marrakech, Marrakech, Morocco 
Received: 10 Nov 2025 - Accepted: 01 Mar 2026 - Published: 03 Mar 2026
Domain: Radiology,Oncology,Neuro-oncology
Keywords: Intracranial germ cell tumor, magnetic resonance imaging, stereotactic biopsy, thalamo-peduncular, case report
Funding: This work received no specific grant from any funding agency in the public, commercial, or non-profit sectors.
©Mohamed Saadoune et al. Pan African Medical Journal (ISSN: 1937-8688). This is an Open Access article distributed under the terms of the Creative Commons Attribution International 4.0 License (https://creativecommons.org/licenses/by/4.0/), which permits unrestricted use, distribution, and reproduction in any medium, provided the original work is properly cited.
Cite this article: Mohamed Saadoune et al. Thalamo-peduncular germinoma in a young adult: a case report. Pan African Medical Journal. 2026;53:109. [doi: 10.11604/pamj.2026.53.109.50181]
Available online at: https://www.panafrican-med-journal.com//content/article/53/109/full
Thalamo-peduncular germinoma in a young adult: a case report
Mohamed Saadoune1,2,&, Khaoula Ait Benkacem1,2, Samir Barkiche1,2, Mouna Khouchani1,2
&Corresponding author
Germinomas arising in deep brain structures such as the thalamus and cerebral peduncles are rare and frequently mimic high-grade gliomas, creating diagnostic uncertainty. We report the case of a 23-year-old man presenting with progressive headaches, visual disturbances, and signs of intracranial hypertension with secondary hemiparesis and speech impairment. Brain magnetic resonance imaging (MRI) showed a thalamo-peduncular mass suggestive of infiltrative glioma. Stereotactic biopsy with immunohistochemistry demonstrated strong CD117, PLAP, and OCT4 expression, confirming a pure germinoma. Staging revealed pulmonary micronodules and para-aortic lymphadenopathy, while serum tumor markers were normal. The patient was treated with platinum-based chemotherapy followed by craniospinal radiotherapy, with marked clinical improvement and radiological stability. This case illustrates the diagnostic challenge of deep midline germinomas and emphasizes the essential role of histological confirmation to ensure appropriate, potentially curative treatment.
Intracranial germ cell tumors (IGCTs) are rare neoplasms arising from primordial germ cells that aberrantly migrate to the central nervous system, accounting for less than 5% of primary brain tumors in Western populations and up to 10% in East Asian countries [1]. They predominantly affect children and adolescents, with a marked male predominance, and typically involve midline structures such as the pineal gland or suprasellar region [2]. Germinomas represent the most frequent histological subtype and generally exhibit a favorable prognosis when appropriately treated. However, their clinical presentation is highly variable and often influenced by the lesion´s anatomical location, leading to heterogeneous and sometimes misleading manifestations.
Deep-seated germinomas arising in the thalamus or thalamo-peduncular region are exceptionally uncommon, representing a small minority of intracranial germinomas [3]. Their atypical location frequently results in nonspecific symptoms such as progressive hemiparesis, cognitive disturbances, or speech impairment, which may initially suggest alternative diagnoses. Radiologically, these tumors pose a significant challenge, as their MRI characteristics frequently overlap with those of infiltrative high-grade gliomas, demyelinating diseases, or inflammatory processes [3]. The absence of elevated serum tumor markers in many cases further contributes to diagnostic uncertainty, delaying appropriate management. In low- and middle-income settings, including many African countries, limited access to advanced neuroimaging and specialized neuropathology services may exacerbate diagnostic delays and misclassification.
Because germinomas are highly radiosensitive and chemosensitive, timely and accurate diagnosis is essential to ensure optimal therapeutic outcomes and avoid unnecessarily aggressive surgical interventions [4]. Histopathological confirmation through stereotactic biopsy, combined with immunohistochemical markers such as CD117, PLAP, and OCT4, remains the cornerstone for definitive diagnosis and treatment planning [4]. Reports of thalamic or thalamo-peduncular germinomas from Africa remain extremely scarce, making awareness of this entity crucial for clinicians practicing in the region. We report a rare case of thalamo-peduncular germinoma in a young adult initially misdiagnosed as a high-grade glioma, highlighting the importance of tissue diagnosis and immunohistochemical evaluation in distinguishing these tumors from other deep-seated intracranial lesions.
Patient information: a 23-year-old man with no significant medical history presented in May 2022 with gradually worsening headaches, visual disturbances, and symptoms suggestive of intracranial hypertension. Over the following weeks, his condition progressively deteriorated, leading to right upper limb functional impairment, hemiparesis, dysarthria, and left-sided ptosis. There was no history of infection, trauma, or exposure to toxic substances, and no relevant familial neurological or oncological background was reported.
Timeline of current episode: the patient's symptoms began insidiously with headaches and visual disturbances, progressively worsening over several weeks. Neurological deficits subsequently developed, including motor weakness and speech difficulties, prompting further investigation. Diagnostic imaging was performed soon after presentation, followed by stereotactic biopsy and initiation of systemic treatment. Chemotherapy was administered over four cycles, after which radiotherapy was delivered, and follow-up imaging confirmed disease control.
Clinical findings: on clinical examination, the patient exhibited signs of intracranial hypertension associated with progressive neurological deficits. Findings included right-sided hemiparesis affecting the upper limb predominantly, dysarthria, and left-sided ptosis. Coordination and motor function were significantly impaired, consistent with involvement of deep brain structures. No systemic abnormalities were noted.
Diagnostic assessment: magnetic resonance imaging of the brain demonstrated an infiltrative thalamo-peduncular lesion with hyperintensity on T2/FLAIR sequences and faint enhancement on post-contrast T1, raising concern for an infiltrative high-grade glioma and creating diagnostic uncertainty (Figure 1, Figure 2). A stereotactic biopsy was subsequently performed. Initial histological evaluation suggested a high-grade glioma; however, immunohistochemical staining revealed strong positivity for CD117, PLAP, and OCT4, findings consistent with a pure germinoma (Figure 3, Figure 4). Staging with thoraco-abdominopelvic CT identified nonspecific pulmonary micronodules (Figure 5), while serum tumor markers remained within normal limits (Table 1). As shown above, the patient's LDH level is elevated compared to the reference range, while both β-HCG and α-FP are within normal limits. These values are important for the diagnostic evaluation and ongoing management of intracranial germ cell tumors.
Diagnosis: based on radiological features and immunohistochemical analysis, the final diagnosis of a pure thalamo-peduncular germinoma was established.
Therapeutic interventions: the patient received four cycles of chemotherapy. The first and third cycles included etoposide and carboplatin, while the second and fourth cycles combined etoposide and ifosfamide. Following systemic treatment, he underwent craniospinal irradiation at a total dose of 24 Gy. No major treatment-related complications were reported.
Follow-up and outcome of interventions: clinical reassessment after completion of therapy revealed marked improvement in coordination, speech, and motor function. Follow-up MRI demonstrated a stable multicystic lesion surrounded by marginal gliosis, with collapsed lateral ventricles suggestive of hyperdrainage, without evidence of progression (Figure 6, Figure 7). The patient remained clinically stable on subsequent evaluations.
Patient perspective: the patient reported significant improvement in daily functioning and expressed relief after receiving a definitive diagnosis and effective treatment. He highlighted the major impact of motor and speech recovery on his quality of life.
Informed consent: written informed consent was obtained from the patient for publication of this case report and accompanying images.
Germinomas of the thalamo-peduncular and basal ganglia regions are an uncommon and diagnostically challenging subset of intracranial germ cell tumors, representing less than 10% of all central nervous system germinomas [5]. Their deep location, combined with non-specific clinical manifestations, often leads to delayed or incorrect diagnosis [6]. Unlike pineal and suprasellar germinomas, which are more readily recognized due to their typical midline presentation, these ectopic lesions may mimic high-grade gliomas, demyelinating conditions, or inflammatory disorders [7]. The insidious onset of symptoms such as hemiparesis, cognitive decline, movement disorders, and raised intracranial pressure complicates the clinical picture, as seen in our patient. Awareness of these atypical presentations is critical to avoid mismanagement and ensure timely biopsy [8].
Neuroimaging remains the first step in evaluation, but has inherent limitations. Magnetic resonance imaging features of germinomas in these locations often include T2/FLAIR hyperintensity, variable gadolinium enhancement, and spectroscopy abnormalities such as elevated choline and reduced NAA peaks [8]. However, these characteristics significantly overlap with high-grade gliomas and other infiltrative tumors, explaining the initial misdiagnosis in many cases [9]. Several authors suggest that unilateral basal ganglia or thalamic lesions in adolescents or young adults, especially when associated with progressive hemiparesis and normal tumor markers, should raise suspicion of germinoma [10]. Ultimately, histopathological examination with immuno-histochemistry remains the diagnostic gold standard, with typical markers including CD117, PLAP, and OCT4.
Therapeutic management of intracranial germinomas has evolved to optimize survival while minimizing long-term toxicity. Multimodal treatment using platinum-based chemotherapy combined with radiotherapy has demonstrated excellent outcomes across pediatric and young adult populations [10]. In our patient, this combined approach led to significant clinical and radiological improvement, mirroring previously published outcomes. Reports of thalamic or thalamo-peduncular germinomas from Africa remain extremely scarce, which may contribute to diagnostic delays in resource-limited settings. Long-term sequelae of therapy remain an important concern, particularly regarding neurocognitive function and neurological deficits related to both tumor involvement and treatment effects. Consequently, close multidisciplinary follow-up is essential to monitor functional recovery, detect recurrence, and address late toxicities. In summary, thalamo-peduncular germinomas, although rare, must be considered in the differential diagnosis of deep-seated brain tumors in young adults. Early biopsy with immunohistochemistry is critical to distinguish them from more aggressive neoplasms, and multimodal treatment continues to offer favorable outcomes despite the challenges posed by their unusual location.
This case of thalamo-peduncular germinoma in a young adult, initially suspected to be a high-grade glioma on imaging, illustrates the major diagnostic pitfall posed by deep midline tumors. The key lesson is that early stereotactic biopsy with immunohistochemical analysis is crucial to establish the correct diagnosis and guide appropriate chemoradiotherapy, thereby avoiding misclassification and inappropriate management.
The authors declare no competing interests.
Patient management: Mohamed Saadoune and Samir Barkiche. Data collection: Mohamed Saadoune and Khaoula Ait Benkacem. Histopathological analysis: Khaoula Ait Benkacem. Manuscript drafting: Mohamed Saadoune. Manuscript revision: Samir Barkiche and Mouna Khouchani. All authors have read and approved the final version of this manuscript.
Table 1: biological test results
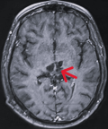
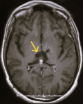
Figure 1: contrast-enhanced brain magnetic resonance image showing a thalamo-peduncular lesion: axial T1-weighted post-contrast magnetic resonance image demonstrating a thalamo-peduncular mass with heterogeneous patchy enhancement and multiple small cystic components (red arrow)
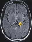
Figure 2: axial T2-weighted brain magnetic resonance image showing a thalamo-peduncular mass: axial T2-weighted magnetic resonance image demonstrating a hyperintense lesion in the thalamo-peduncular region with surrounding edema and compression of the third ventricle
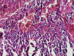
Figure 3: histopathological appearance of the tumor on hematoxylin-eosin staining: hematoxylin-eosin stained section showing a population of tumor cells with round hyperchromatic nuclei arranged in diffuse sheets (original magnification x20)
Figure 4: immunohistochemical nuclear staining of tumor cells supporting germinoma: immunohistochemical staining showing strong nuclear positivity of tumor cells for OCT4, consistent with the diagnosis of germinoma
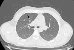
Figure 5: chest computed tomography image showing a non-specific pulmonary micronodule: parenchymal window chest computed tomography image demonstrating a small non-specific pulmonary micronodule (arrow) without associated consolidation or mass effect
Figure 6: post-treatment contrast-enhanced brain magnetic resonance image showing regression of the thalamo-peduncular lesion: axial T1-weighted post-contrast magnetic resonance image obtained after treatment demonstrating cystic regression of the lesion with absence of residual contrast enhancement
Figure 7: axial brain magnetic resonance image showing post-treatment gliotic changes: axial fluid-attenuated inversion recovery magnetic resonance sequence obtained after radiotherapy demonstrating gliotic signal changes and collapse of the third ventricle
- Ostrom QT, Price M, Neff C, Cioffi G, Waite KA, Kruchko C et al. CBTRUS Statistical Report: Primary Brain and Other Central Nervous System Tumors Diagnosed in the United States in 2016-2020. Neuro Oncol. 2023 Oct 4;25(12 Suppl 2):iv1-iv99. PubMed | Google Scholar
- Calaminus G, Frappaz D, Kortmann RD, Krefeld B, Saran F, Pietsch T et al. Outcome of patients with intracranial non-germinomatous germ cell tumors - lessons from the SIOP-CNS-GCT-96 trial. Neuro Oncol. 2017;19(12):1661-1672. PubMed | Google Scholar
- Matsutani M, Sano K, Takakura K, Fujimaki T, Nakamura O, Funata N et al. Primary intracranial germ cell tumors: pathology and treatment. J Neurosurg. 1997;86(3):446-455. PubMed | Google Scholar
- Frappaz D, Dhall G, Murray MJ, Goldman S, Conter CF, Allen J et al. EANO, SNO and Euracan consensus review on the current management and future development of intracranial germ cell tumors in adolescents and young adults. Neuro Oncol. 2022;24(4):516-527. PubMed | Google Scholar
- Zhang Y, Wang L, Ma W, Pan H, Wang R, Zhu H et al. Basal ganglia germ cell tumors with or without sellar involvement: a long-term follow-up in a single medical center and a systematic literature review. Front Endocrinol (Lausanne). 2021 Nov 10:12:763609. PubMed | Google Scholar
- Khairy S, Khubrani R, Al-Dandan S, Alobaid A. Thalamic germinoma: a challenging diagnosis, case report and literature review. J Surg Case Rep. 2018 Jul 3;2018(7):rjy154. PubMed | Google Scholar
- Akiyama Y, Suzuki H, Mikuni N. Germinoma mimicking tumefactive demyelinating disease in pediatric patients. Pediatr Neurosurg. 2016;51(3):149-53. PubMed | Google Scholar
- Fujii Y, Saito Y, Ogawa T, Fujii S, Kamitani H, Kondo S et al. Basal ganglia germinoma: diagnostic value of MR spectroscopy and (11)C-methionine positron emission tomography. J Neurol Sci. 2008 Jul 15;270(1-2):189-93. PubMed | Google Scholar
- Aprianto DR, Parenrengi MA. A giant germinoma mimics high-grade glioma: a rare form of thalamic region tumor. Wiad Lek. 2022;75(8 pt 2):2036-2040. PubMed | Google Scholar
- Kobayashi T, Kageyama N, Kida Y, Yoshida J, Shibuya N, Okamura K. Unilateral germinomas involving the basal ganglia and thalamus. J Neurosurg. 1981 Jul;55(1):55-62. PubMed | Google Scholar
Search
This article authors
On Pubmed
On Google Scholar
Citation [Download]
Navigate this article
Similar articles in
Key words
Tables and figures
Figure 6: post-treatment contrast-enhanced brain magnetic resonance image showing regression of the thalamo-peduncular lesion: axial T1-weighted post-contrast magnetic resonance image obtained after treatment demonstrating cystic regression of the lesion with absence of residual contrast enhancement










