Keerthi Krishnankutty Nair, Kanad Chaudhuri, Ashok Lingappa, Ranjani Shetty, Pramod Gujjar Vittobarao. Aggressive fibromatosis of the oral cavity in a 5 year old boy: a rare case report. PAMJ. 31 Dec 1969. 27(47)
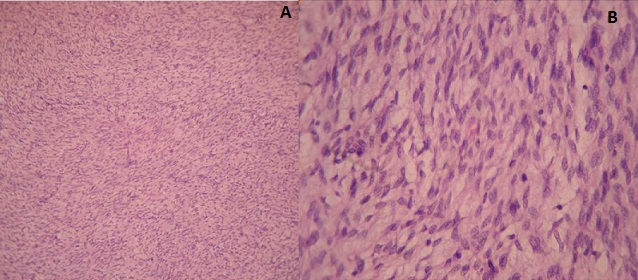
Figure 3: (A) H&E 40X & (B) H&E 100X: histopathological section revealing spindle cells in fascicles and parallel to blood vessels at places; typical 5-10 mitosis/10 hpf were seen with no abnormal mitotic figures